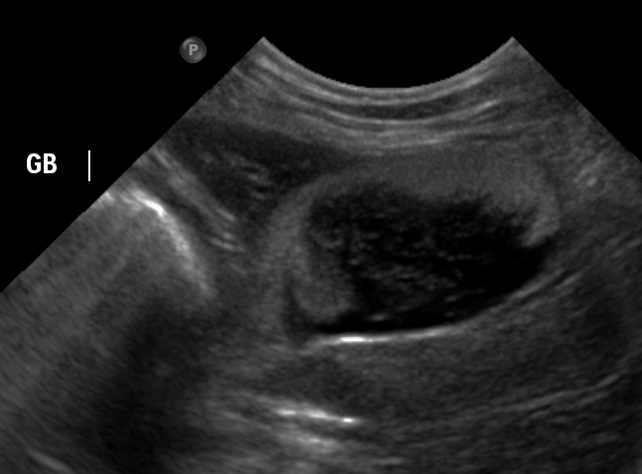
반려견에서의 담낭 슬러지(sludge)의 원인 리스트
반응형
담낭 내 sludge(담즙 슬러지)가 발생하는 원인은 여러 가지가 있으며, 선천적 요인과 후천적 요인을 모두 고려해야 합니다. 주요 원인들을 정리하면 다음과 같습니다.
1. 선천적 및 유전적 요인
- 담즙 저류(biliary stasis)의 유전적 경향
- 일부 품종(예: Shetland Sheepdog, Miniature Schnauzer, Cocker Spaniel)에서 담낭 운동성이 저하되는 경향이 보고됨.
- 담낭 점액낭종(gallbladder mucocele, GBM)으로의 진행 가능성
- 담즙 슬러지가 초기 단계에서 점액 과분비로 인해 mucocele로 발전할 가능성이 있음.
2. 담즙 배출 장애(biliary dyskinesia)
- 담낭 운동성 저하(hypomotility)
- 담즙이 원활히 배출되지 않으면 bilirubin, cholesterol, mucin이 침전되어 슬러지가 형성됨.
- 선천적 담관 기형(congenital biliary anomalies)
- 담즙 배출 경로가 원활하지 않으면 담즙 저류로 인해 슬러지가 형성될 수 있음.
3. 식이 및 대사 요인
- 고지방식(hyperlipidemia, dyslipidemia)
- 지방대사가 원활하지 않으면 cholesterol이 과다 분비되어 슬러지 형성에 기여.
- 단식 또는 저지방식(hypolipidemia)
- 담낭 수축을 유도하는 자극이 부족하여 담즙 저류가 발생.
- 고칼로리 식단 및 비만(obesity-related hepatobiliary dysfunction)
- 간에서의 cholesterol 및 bilirubin 대사 이상이 담즙 성분 변화에 영향을 미침.
4. 내분비 질환 및 대사 장애
- 고지질혈증(primary hyperlipidemia, secondary to hypothyroidism, Cushing’s disease 등)
- Hypothyroidism(갑상선 기능 저하증)
- 담낭 운동성이 감소하고, cholesterol 대사가 저하되어 슬러지 형성 가능.
- Cushing’s disease(부신피질기능항진증, hyperadrenocorticism)
- 코르티솔 과다로 인해 담즙 성분 변화 및 담즙 점도 증가.
- 간기능 저하(hepatic insufficiency)
- 담즙산(bile acid) 분비 저하로 담즙 내 용해 능력 감소.
5. 약물 및 독성 요인
- 스테로이드(glucocorticoids)
- 간에서 cholesterol 대사를 증가시켜 담즙 내 포화도를 높이고 슬러지 형성 촉진.
- 면역억제제(cyclosporine 등)
- 간 및 담즙 대사에 영향을 주어 담즙 점도 증가 가능.
- 일부 항생제 및 NSAIDs
- 간 및 담즙 대사에 영향을 미칠 수 있음.
6. 감염 및 염증 요인
- 담낭염(cholecystitis) 또는 담관염(cholangitis)
- 세균 감염이 담즙 점도를 증가시키고, 점액 과분비를 유발하여 슬러지 형성을 촉진할 수 있음.
- 장내 세균총 변화 및 SIBO(small intestinal bacterial overgrowth)
- 담즙의 탈결합(deconjugation)과 점도 변화로 인해 슬러지 형성 가능.
7. 기타 요인
- 장기적인 탈수(chronic dehydration)
- 담즙이 농축되어 슬러지 형성 가능.
- 스트레스(stress-related cholestasis)
- 교감신경 활성화로 담낭 수축이 억제되면서 담즙 저류 유발 가능.
결론
담즙 슬러지가 형성되는 원인은 유전적 요인, 대사 장애, 식이 요인, 약물 및 감염 요인 등 다양합니다. 임상적으로는 담낭 운동성 저하(biliary dyskinesia)와 대사 이상(hyperlipidemia, hypothyroidism 등) 여부를 우선적으로 평가하는 것이 중요합니다.
또한, 지속적인 슬러지가 확인될 경우 Gallbladder mucocele의 초기 징후일 가능성도 고려해야 하므로 정기적인 초음파 모니터링이 필요합니다.

반응형
'감별진단 목록' 카테고리의 다른 글
| 반려견의 복부에서 '꼬르륵' 소리(=borborygmus)가 발생할 수 있는 원인 (0) | 2025.03.21 |
|---|---|
| 반려견의 설사 원인 (0) | 2025.03.13 |
| 반려견이 신체 일부를 핥을 때의 원인 리스트 (0) | 2025.03.09 |
| 반려견의 이유 없는 짖음 원인 리스트 (0) | 2025.03.02 |
| 반려견 불안증상 리스트 (행동학적 기준) (0) | 2025.03.01 |