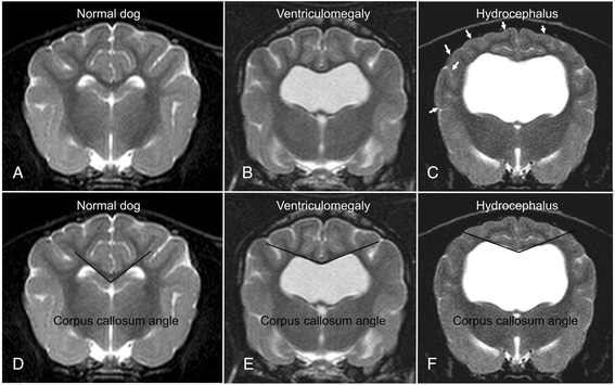
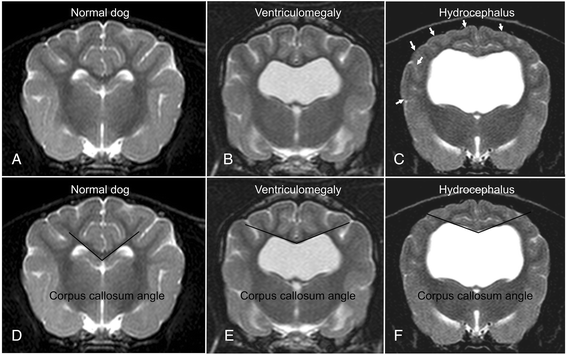
hydrocephalus 뇌수두증 샘플
반응형


반응형
'영상의학 검사 > 임상 증례_샘플' 카테고리의 다른 글
| 치과 방사선 검사가 필요한 이유 sample (0) | 2022.02.24 |
|---|---|
| 고양이 천식 증상 feline asthma (0) | 2022.02.23 |
| 기관협착증 증상 sample : tracheal collapse , goose hongking (0) | 2022.02.23 |
| 개와 고양이 역재채기 증상 모음 reverse sneezing sample (0) | 2022.02.14 |
| comedo 여드름 샘플 (0) | 2022.02.08 |