반려견에서 초음파 검사를 통해 염증성 장질환을 추정할 수 있는가?
반응형
일반적으로 주관적 평가 이외 객관적 평가는 말하지 않는게 정설이었으나
의심의 단초가 나와서 소개한다.

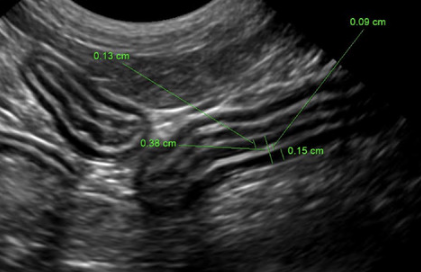
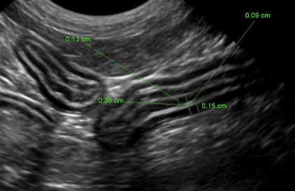
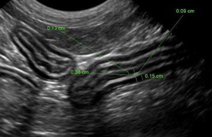
장벽 전체가 아닌 장벽의 근육층 비후를 가지고 추정한다는 논문이며
일단 정상 범위는

이것을 참고하자.

반응형
'감별진단 목록 > 품종별 특이질환' 카테고리의 다른 글
| 미니어쳐 푸들의 유전질환/품종특이질환 ; miniature Poodle dogs (0) | 2022.11.27 |
|---|---|
| 비숑 프리제의 품종특이성 / 유전성 질환 (0) | 2022.11.05 |
| 코카 스파니엘의 품종특이성 / 유전성 질환 (0) | 2022.10.27 |
| 벵갈 고양이의 품종특이성 / 선천성 질환 (0) | 2022.10.25 |
| 웰시코기의 유전적/품종특이성 질환 (0) | 2022.10.03 |