feline intrahepatic bile calculi : radiography




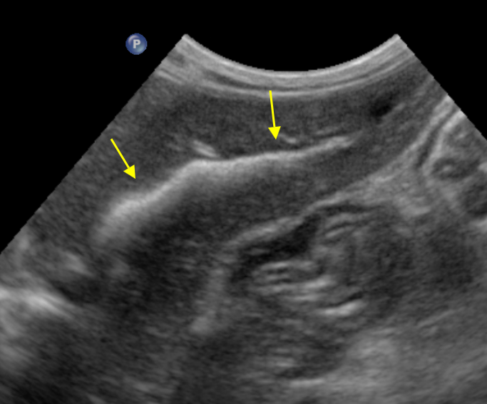
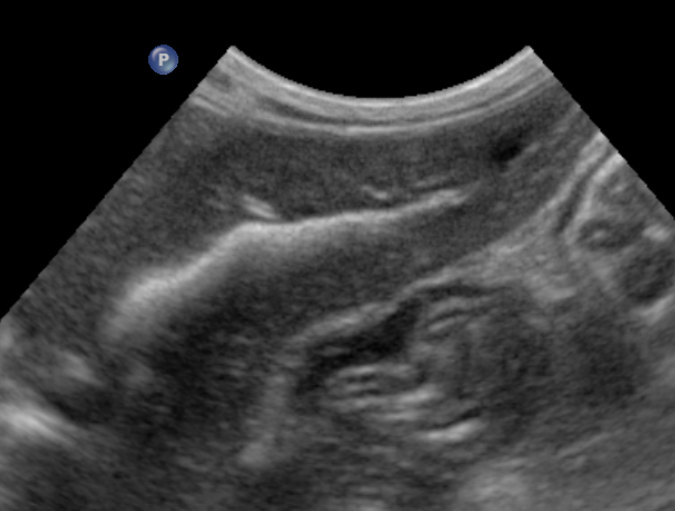
ultrasonography
branched intrahepatic bile duct stone
반응형
'영상의학 검사 > 임상 증례_샘플' 카테고리의 다른 글
| feline joint mice radiography sample (0) | 2025.02.27 |
|---|---|
| feline IBD(inflammatory bowel disease) cast ultrasonographic image sample (0) | 2025.02.26 |
| 자동차 창문 뛰어내리는 강아지 사고 예시 GIF (0) | 2022.12.29 |
| ringworm skin region sample (0) | 2022.11.21 |
| 사람연고 부작용 사례. (0) | 2022.08.13 |