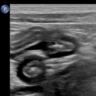
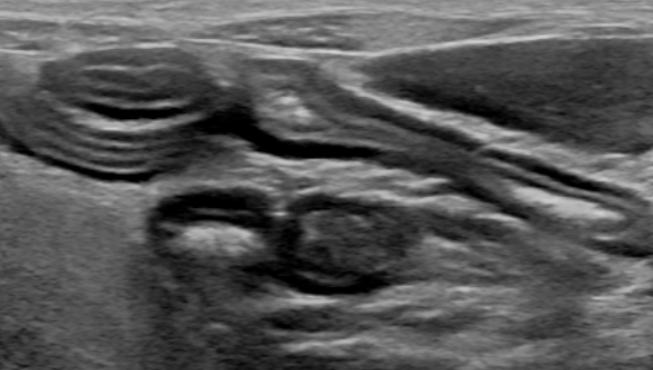
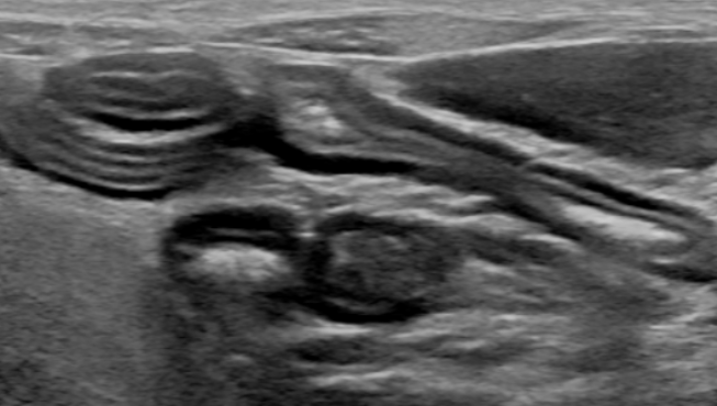
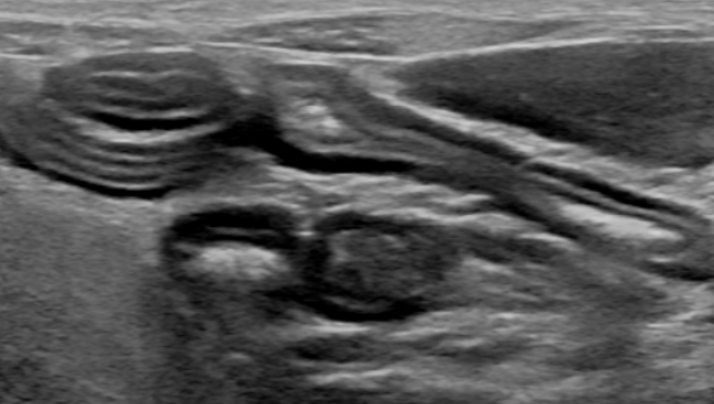
feline IBD(inflammatory bowel disease) cast ultrasonographic image sample



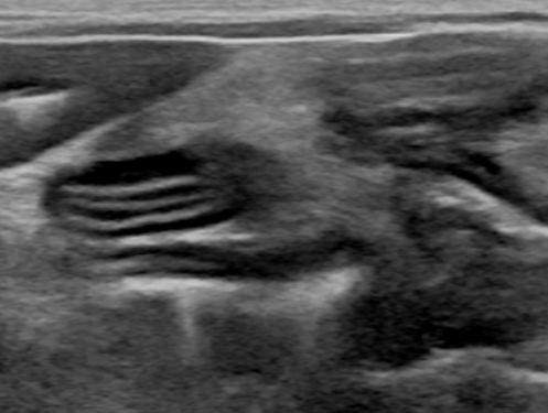
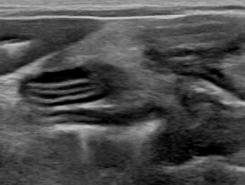
Well-demarcated thickening of the muscular layer with relatively preserved stratified wall structure.
반응형
'영상의학 검사 > 임상 증례_샘플' 카테고리의 다른 글
| oral plasmacytoma in dog (0) | 2025.07.17 |
|---|---|
| feline joint mice radiography sample (0) | 2025.02.27 |
| feline intrahepatic bile calculi : radiography (0) | 2025.02.25 |
| 자동차 창문 뛰어내리는 강아지 사고 예시 GIF (0) | 2022.12.29 |
| ringworm skin region sample (0) | 2022.11.21 |