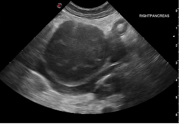
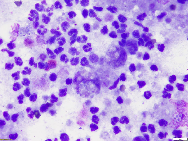
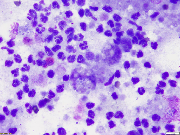
캔디다 감염으로 발생한 고양이 췌장염 증례

보통 고양이 췌장염에서 진균에 해당하는 캔디다 등의 감염 가능성은 높게 생각하지 않는데
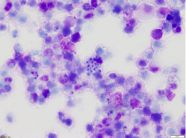
이 증례의 경우 췌장부에 종괴성의 병변이 있어 종양을 감별하기 위해 초음파 유도하에 세포 검사를 진행하였고



캔디다증으로 증명된 케이스이다.
여기서 생각해 볼 문제는 췌장염이 발생했을때 FNA을 루틴하게 시행해야 하는가에 대한 고민을 해보아야 한다.
이론적으로는 FNA를 시행하고 그 결과에 따라 치료방법을 선택하는게 옳지만
마취가 필요한점, 췌장 자체를 주사바늘로 손상을 주는 점 등의 제한 사항이 있어 잘 선택해야함
대증 치료 이후 개선이 안되는 경우 FNA를 시도해 보는 루트가 일반적일테지만 경우에 따라 대증치료간 악화되어 극단적인 상황으로 진행될 수있음을 보호자에게 숙지 시켜놓을것.
반응형
'논문겉핥기' 카테고리의 다른 글
| 알라스칸 말라뮤트 에서 보이는 혀주름 및 다발성신경병증 (0) | 2022.03.19 |
|---|---|
| 비장전신 PSS 고양이에서 발생한 문맥 혈전증 케이스 (0) | 2022.03.18 |
| JFMS 고양이 심근병증 평가 기준 및 약물투약 고려점 (0) | 2022.03.17 |
| [혐오주의] 오존처리된 올리브 오일을 이용한 상처치유 (0) | 2022.03.17 |
| 채식주의 식단으로 고양이를 키우면 어떻게 될까? (0) | 2022.03.17 |