반려견 비만 세포종 수술에서 CT의 역할
반응형

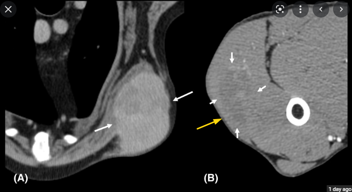
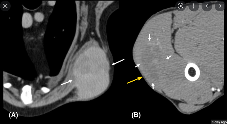
결론적으로 말하자면 수술의 범위를 평가하기 위한 용도로는 부적절하고
전이 양상을 평가하기 위한 전통적 목적에서 CT 가 사용되어야 한다고 한다.

노란색 화살표에 종양의 존재는 확인되지만 경계가 명확하지 않은것이 그 이유라고 할 수 있다.
반응형
'논문겉핥기' 카테고리의 다른 글
| 장질환 반려견에서 코발라민 투약의 필요성 (0) | 2022.09.13 |
|---|---|
| 고양이 흉수 참고 자료 (0) | 2022.09.12 |
| 반려견의 IMHA에서 영상검사의 역할? (0) | 2022.09.10 |
| 고양이 경동맥 파열에 의한 거짓동맥류 증례 (0) | 2022.09.09 |
| 고양이 바이러스성 간병증? 헤파드나 바이러스 감염증 (0) | 2022.09.07 |