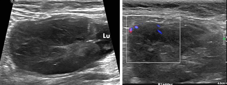
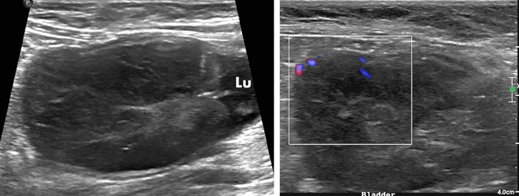
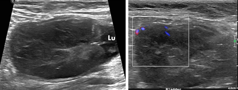
고양이 방광벽에서 생긴 평활근종의 초음파 소견
반응형

고양이에서 보기 드문 육종이 방광에 생겼을때 보일 수 있는 초음파 소견을 소개하는 논문.
한마리를 가지고 보고를 한다는것은 그만큼 드물다는것이라 이런 질환을 감별진단 상위에 둘 수없다는것을 명심해야 한다.

"when you hear hoofbeats, think of horses, not zebras"
반응형
'논문겉핥기' 카테고리의 다른 글
| 고양이 혈전치료를 위한 칵테일 (0) | 2023.06.24 |
|---|---|
| 고양이 기관에 생긴 종양 (0) | 2023.06.22 |
| 지방종은 무시해도 되는건가? (0) | 2023.06.14 |
| 반려동물의 점상출혈 / 반상출혈 원인 ( 피부에 멍든 이유 ) (0) | 2023.06.12 |
| 고양이 미녹시딜 독성 치료 방법 (0) | 2023.06.10 |