고양이와 반려견의 새가슴 혹은 볼록가슴과 심장병
반응형


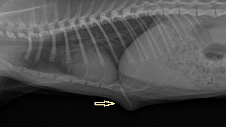
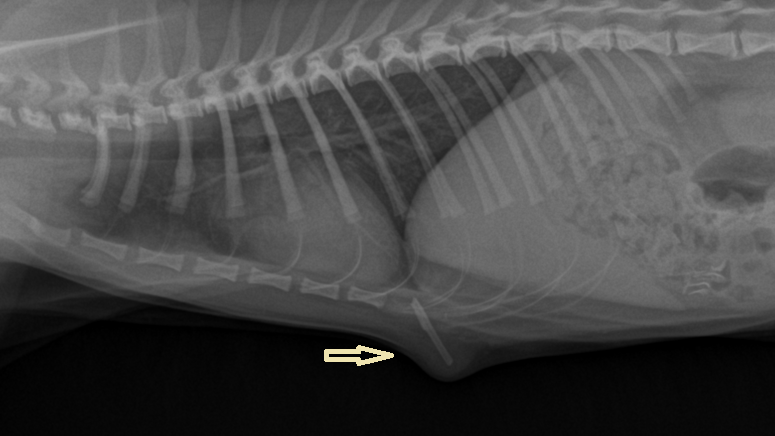
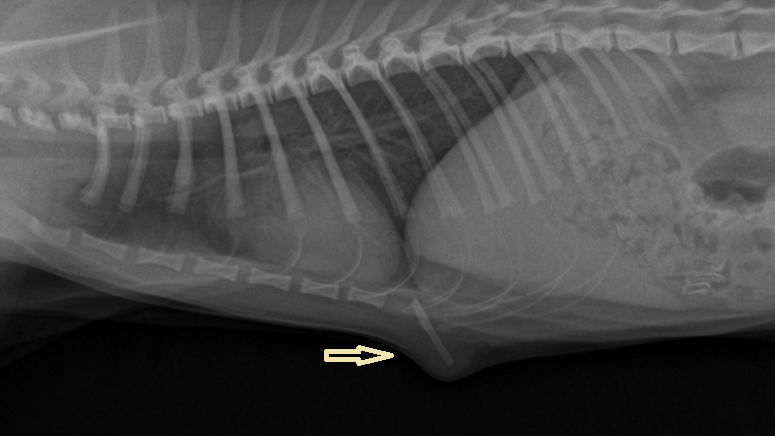
케이스 리포팅에 언급된 부분이 참고할만한 내용이라 첨부한다.

즉, 새가슴(pectus carinatum)이 있는 경우 사람과는 달리 선천성 심장질환과 연관되어 있다는 언급. HCM이나 DCM을 말하는 것.
조금만 생각해 보면 이해를 할 수 있는 것이
심장도 발생학적으로 중배엽 유래이고 뼈도 중배엽이라 뼈의 기형이 유발되는 발생상의 문제라면 동일한 중배엽의 발생에도 영향이 있을 수밖에 없지 않은가? 라는것. 특히 pectus carinatum은 뼈의 배열 문제이고, HCM나 DCM 같은 심장 질환도 심근 세포의 배열 문제니까. 물론 이는 이해를 쉽게 하기 위한 추정이다.
반응형
'진료 도움 자료' 카테고리의 다른 글
| 고양이 치은염/구내염의 심각도 평가 기준 (1) | 2024.06.05 |
|---|---|
| 반려견의 눈물 자국 원인 (0) | 2024.02.18 |
| 고양이의 초음파상 정상 신장 크기 (0) | 2024.01.05 |
| 사람의 A형 독감은 개에게 감염될 수 있는가? (0) | 2023.12.26 |
| 반려견 케이지 적응훈련 방법 (0) | 2023.12.25 |