반려견의 전립선 비대 초음파 기준
반응형

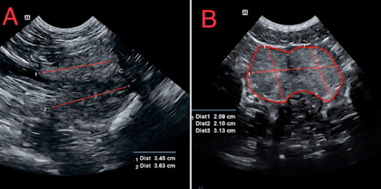
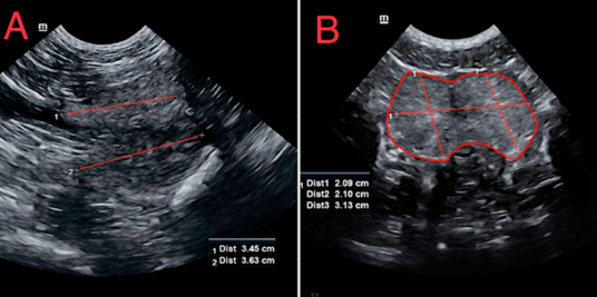
| Cut off value |
| 전립선 길이 대 대동맥 내강 직경 비율이 : 3.68 전립선 너비 대 대동맥 내강 직경 비율이 : 4.46 전립선 평균 높이 대 대동맥 내강 직경 비율이 : 3.06 |

반응형
'진료 도움 자료' 카테고리의 다른 글
| 고양이 심장 이완능 측정 파형 판독 기준 (0) | 2024.08.22 |
|---|---|
| 고양이의 췌장염 사망률 (0) | 2024.08.16 |
| 반려견의 췌장염 사망률 (0) | 2024.08.14 |
| 반려견 품종별 VHS (0) | 2024.08.11 |
| 고양이 심장 초음파 검사 이완능 평가 기준 : PW tissue doppler (0) | 2024.08.11 |