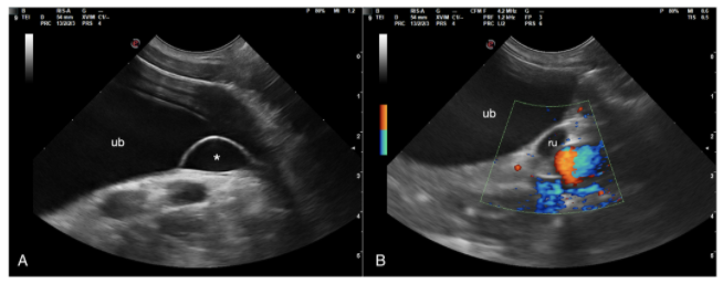
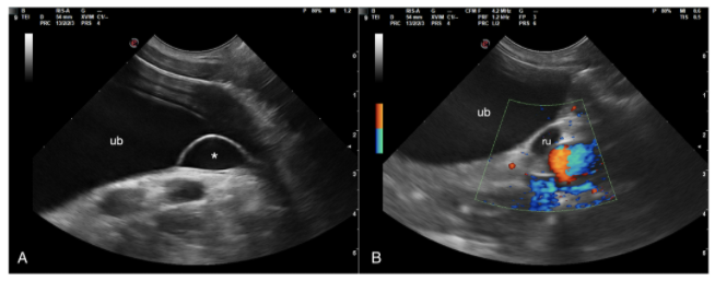
ureterocele에 의한 요도 폐색
반응형


본문 초반에 ureterocele이 uncommon 하다고 설명하고 있지만
개인적으로 운이 좋아서인지 아니면 우연인건지는 모르겠지만
그간 대략 5마리 정도 개에서 진단했었다.
특별한 이상증상이 없고 보호자가 수술적 교정을 원하지 않아 실제 임상증상이 유발된 경우는 보지 못하였으나
이번 논문에서처럼 크기가 증가하는 경우 폐색을 유발하여 이차적인 문제를 유발할 수도 있어서
조기에 수술적 교정을 해주거나 정기적인 모니터링을 해서 이상 변화를 확인해야 한다는 의미로 받아들여야 한다.
반응형
'논문겉핥기' 카테고리의 다른 글
| 오연성 폐렴이 발생한 개에서 모니터링 항목 (0) | 2022.03.24 |
|---|---|
| 고양이 황색종 케이스 (0) | 2022.03.23 |
| 강아지 방광에 머리카락이? (0) | 2022.03.21 |
| 포메라니안 미용 후 탈모 치료법 (0) | 2022.03.21 |
| 마카다미아 넛 독성 (0) | 2022.03.20 |