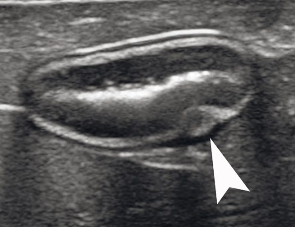
정상 고양이의 췌도 개구부 초음파 영상
반응형


초음파 진단시 참고 자료
물론 아직 triaditis에서는 어떻게 보이는지에 대한 평가 결과는 논문화 되지 않았고
이 결과를 논문화 하기 위한 사전 논문으로 발표된듯 함.
1~2년 후면 질환에 따른 개구부의 차이에 대한 논문이 나올걸로 예상됨
반응형
'논문겉핥기' 카테고리의 다른 글
| 고양이 눈물샘의 위치와 눈물관의 위치 (4) | 2022.04.12 |
|---|---|
| 이름도 어렵다 Pancoast tumour 혹은 증후군 (0) | 2022.04.11 |
| dexmedetomidine 마취로 인한 담낭벽 비후와 복수 (0) | 2022.04.09 |
| 반려견 담낭 절제술의 위험성, 위험률 (0) | 2022.04.08 |
| 빈맥이 있는 고양이, 강아지 환자에서 esmolol 치료제 적용 (0) | 2022.04.08 |