풀씨가 근위 요관까지 들어갈 수 있다/없다? 세상에 이런일이
반응형

이런류의 논문들은 정말 희박하기 때문에 보고되는 논문이라 빈도가 높다고 생각하고 먼저 의심해서는 안된다.
다만 난해한 케이스에서 여러 가능성을 판단할때 상상력의 범위를 넓혀 생각할 필요가 있다는 사실을 깨닿게 해주는 그런 논문? 정도로 생각해야 한다.

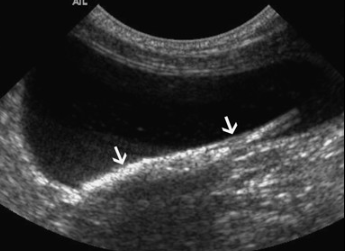
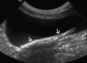
논문이 아직 열리지 않아 내용은 모르겠고 방광에서 발견된 풀씨 케이스의 초음파 사진이니 참고하기 바람


반응형
'논문겉핥기' 카테고리의 다른 글
| 기관지연화증 환자의 폐동맥 고혈압 (0) | 2022.04.26 |
|---|---|
| 고양이의 경피적 카테터 삽입술의 효용성 (0) | 2022.04.25 |
| 고양이 폐농양에 대한 내과적 치료 증례 (0) | 2022.04.23 |
| 반려견 발가락 종양 (0) | 2022.04.22 |
| 개와 토끼간 이종 수혈 가능할까? 그리고 고양이는? (0) | 2022.04.21 |