아무리 봐도 정상인 고양이가 심잡음이 들린다면?
반응형

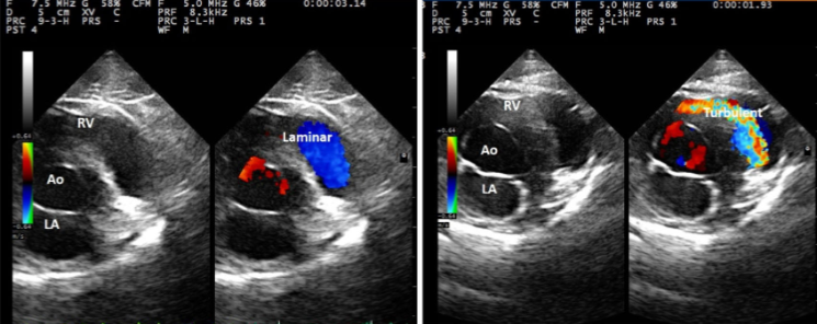
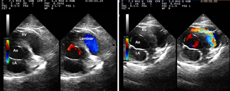
간혹 방사선 검사나 임상증상, 심지어 심장 초음파 검사에서도 정상인데 심잡음이 들리거나
청진상에서는 정상이었는데 심장 초음파 검사상 TR flow가 관찰되는 환자의 경우 혹시 compression에 의해 발생한 의인성 거짓 심잡음은 아닌지 생각해 보라는 논문

환자가 검사에 호응하지 않는경우 검사자의 긴장도에 따라 그럴 수도 있다.
반응형
'논문겉핥기' 카테고리의 다른 글
| 말티즈에서 보일 수 있는 발작성 운동이상증 (0) | 2022.06.02 |
|---|---|
| 경련약을 먹이면 오히려 경련을 하는 강아지? (0) | 2022.06.01 |
| 고지혈증, 비만 강아지는 결석을 주의하세요. (0) | 2022.05.30 |
| 초음파와 내시경 포셉을 이용한 방광 조직생검 방법 (0) | 2022.05.29 |
| 바늘먹은 시츄 (0) | 2022.05.28 |