고양이 면역치료 부작용? 림프종이 의심된다면 이 질환도...
고양이 에서 면역치료를 받고 있거나 에이즈 환자인 경우 이런 부분도 생각해 볼 필요가 있다.

즉, 면역 치료중 Mycobacterium avium 에 감염된 증례에 대한 보고인데
중요한건 그건 그렇다 쳐도 과연 한국에는 이 Mycobacterium avium 이 존재하는가가 중요하다.
아무리 국제화 되었더라도 고양이가 직접 영국에 가서 감염되어서 올게 아니면 국내에 있는 질병인지부터가 중요한것
그래서 사람쪽을 찾아보니

존재한다. 그리고 이 논문 본문에는 전세계적으로 산재한 질병이라고 나온다.

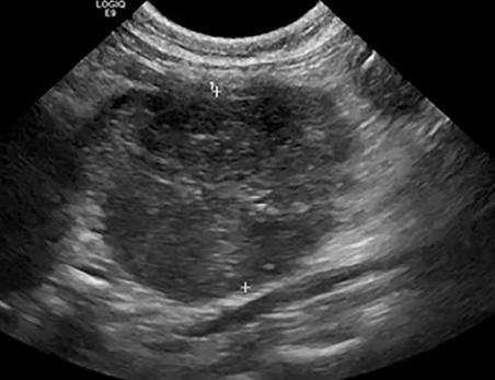
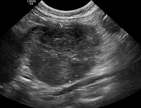
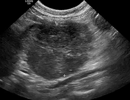
초음파 영상이나 여타 증상들이 상당부분 림프종을 의심하게끔 하는 양상으로 변하기 때문에 림프종으로 미리 포기해 버리는 수가 있을 수 있기에 주의가 필요할듯 하다.

세포 검사에서 확연하게 드러나는것은 아니라 특수 염색이 필요할 수도 있으니
림프종으로 생각되더라도 꼭 PCR 검사를 해볼 필요가 있는 질환이다.
반응형
'논문겉핥기' 카테고리의 다른 글
| 고양이 귀에서 생긴 진주종의 MRI 영상 특징 (0) | 2022.08.20 |
|---|---|
| 반려견에게 호두와 식탁(?)을 먹이지 마세요. (0) | 2022.08.19 |
| 반려견 심장이 터질 수 있는가? (0) | 2022.08.17 |
| 고양이 담낭염 / 간담관염 최신 지견 (0) | 2022.08.16 |
| 노령견에서 청력의 중요성 : 치매와 삶의 질 (0) | 2022.08.15 |