SUB의 드문 부작용 , 고양이에서
고양이와 개 중 요관이 막히는 문제가 발생한 고양이에서 시술하는 보존치료에 해당하는 SUB의 주요 부작용은 관이 꺾기는 kinking인데 이 외에 드물게 발생하는 부작용에 대한 논문이 나와 소개한다.
특정 장비나 약물의 부작용을 소개하는 이유는 그 약물이나 장비를 사용하지 말라는 의미가 아니라 이런 부작용이 발생할 수도 있는것이니 부작용이 부득이 하게 발생했을때 올바르게 대응하여 부작용의 파급효과를 최소한 하라는 말이다.

이번에 논문으로 나오는 부작용은 SUB를 장착한 고양이에서 이 SUB 튜브가 유주하여 장분절로 꼽혀버린 상태에 대한 논문이다.
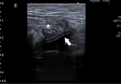
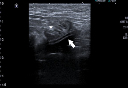
말로 설명하면 무슨 말도 안되는 소린가 싶기에 논문에 나오는 예시 사진을 보면 아래와 같다.


초음파로 plication 까지 발생한 환자의 영상이나 이는 운이 좋아 진단하는 case로 생각되고 실제 진단이 쉽지는 않을것이다.
특히 협조력이 떨어지는 고양이에서는 더더욱 검사가 어려울 수 있는데 그나마 다행인것은

flushing bell을 통해 조영제를 주입하면 이렇게 migration된 끝단이 확인될 수 있으니 이 방법으로 체크해 보는게 추천된다.
반응형
'논문겉핥기' 카테고리의 다른 글
| 아깽이 체중과 연령과의 상관성 근거 논문 (0) | 2022.08.24 |
|---|---|
| 고양이에서 식도관 부작용의 종류와 비율? (0) | 2022.08.23 |
| 개와 고양이의 이중대동맥궁 (0) | 2022.08.21 |
| 고양이 귀에서 생긴 진주종의 MRI 영상 특징 (0) | 2022.08.20 |
| 반려견에게 호두와 식탁(?)을 먹이지 마세요. (0) | 2022.08.19 |