반려견에서 폐 후엽의 폐동맥 크기를 이용한 폐동맥고혈압 추정

경북대학교 수의과대학의 이상권 교수님의 새 논문이다.

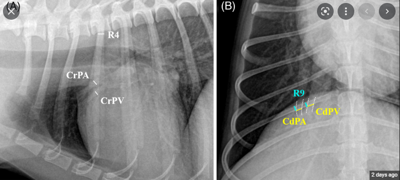
폐 전엽, 후엽으로 주행하는 폐동맥과 폐정맥간 비율을 가지고 폐동맥 고혈압 상태를 추정할 수 있는가에 대한 논문이고
결론은 폐 후엽의 비율이 폐동맥 고혈압 상태와 유의적이었다는 논문이다.

컷오프를 1.1로 잡았을때 특이도가 90.6%이니 유의적이나
한가지 아쉬운것은 폐동맥 고혈압이 있어 폐수종이 경미하게 있는 환자에서는 폐 후엽의 침윤으로 인해 폐 후엽의 혈관을 평가하는데 제한이 있고
촬영 자체도 외측상만 촬영할 경우가 많은데 폐 전엽부의 혈관 크기 비율이 유의적이지 않아 임상적으로 활용할 부분이 제한적일것 같다는 것이다.
어찌되었건 방사선 사진을 찍고 폐동맥 고혈압을 추정하는 중요한 근거자료로 활용될 가능성이 매우 높아 보인다.
반응형
'논문겉핥기' 카테고리의 다른 글
| 선천성 전신폐혈관 단락 고양이 (0) | 2022.09.16 |
|---|---|
| 고양이 백내장 발병율 / 유병율 (0) | 2022.09.15 |
| 장질환 반려견에서 코발라민 투약의 필요성 (0) | 2022.09.13 |
| 고양이 흉수 참고 자료 (0) | 2022.09.12 |
| 반려견 비만 세포종 수술에서 CT의 역할 (0) | 2022.09.11 |