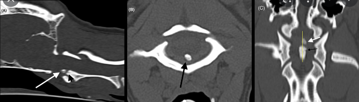
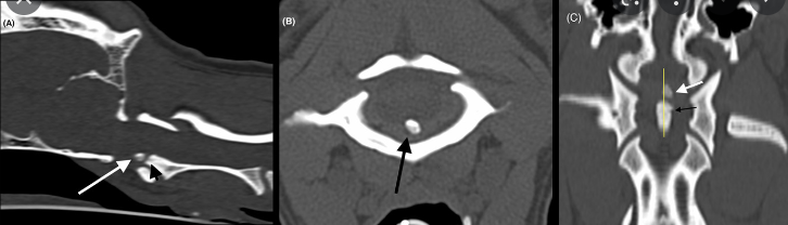
persistent ossiculum terminale가 잔존한 반려견의 CT 자료
반응형

CT나 MRI 촬영을 했을때 축추의 치돌기 종말부에 골편이 관찰되는 경우가 종종있는데
이게 AAI 가 치돌기의 골절때문에 일어난것인가? 라고 하기에는 관련 임상증상이 없는 환자가 종종 보인다.
이에 대한 해석에 해당하는 예시라고 생각할 수 있다.
즉, dens fracture일 수도 있지만 POT일 수 있다는 의미 이다.

반응형
'논문겉핥기' 카테고리의 다른 글
| 악성 체표 비만세포종 반려견에서 림프절제술 (0) | 2022.09.20 |
|---|---|
| PSS 수술할때 사용되는 폴리에틸렌 밴드 (0) | 2022.09.18 |
| 집에만 있으면 전염병에는 안전하다? (0) | 2022.09.17 |
| 선천성 전신폐혈관 단락 고양이 (0) | 2022.09.16 |
| 고양이 백내장 발병율 / 유병율 (0) | 2022.09.15 |