고양이 무릎관절 종양
반응형

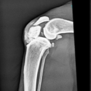
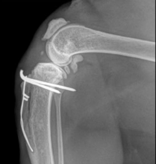
고양이 무릎 관절낭 내부에 양성 골종양이 생긴 증례이다.
1마리임에도 보고하는것은 그만큼 드문 경우이니 이런것도 있을 수 있군.... 정도로 받아들이면 그만이다.

딱 봐도 겁먹을 정도로 거대한 뼈조각 증식이 보인다.

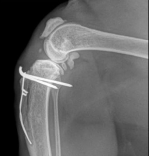
결론적으로 수술 후 행복하게 잘 살았답니다~ 가 끝이다.
반응형
'논문겉핥기' 카테고리의 다른 글
| 반복적인 마취가 더 위험할까? (0) | 2022.10.03 |
|---|---|
| 반려견에서 수액처치의 적절성 평가? (0) | 2022.10.02 |
| 고양이 목에 방울달기? 그 로망을 좀 버렸으면 (0) | 2022.09.30 |
| 반려견의 후천성 요관류 환자 케이스 (0) | 2022.09.29 |
| 고양이 췌장내 비장조직? (0) | 2022.09.28 |