슬개골 탈구 수술을 하지 않으면 3년 후 어떻게 될까?
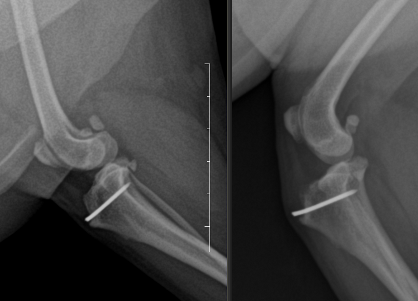
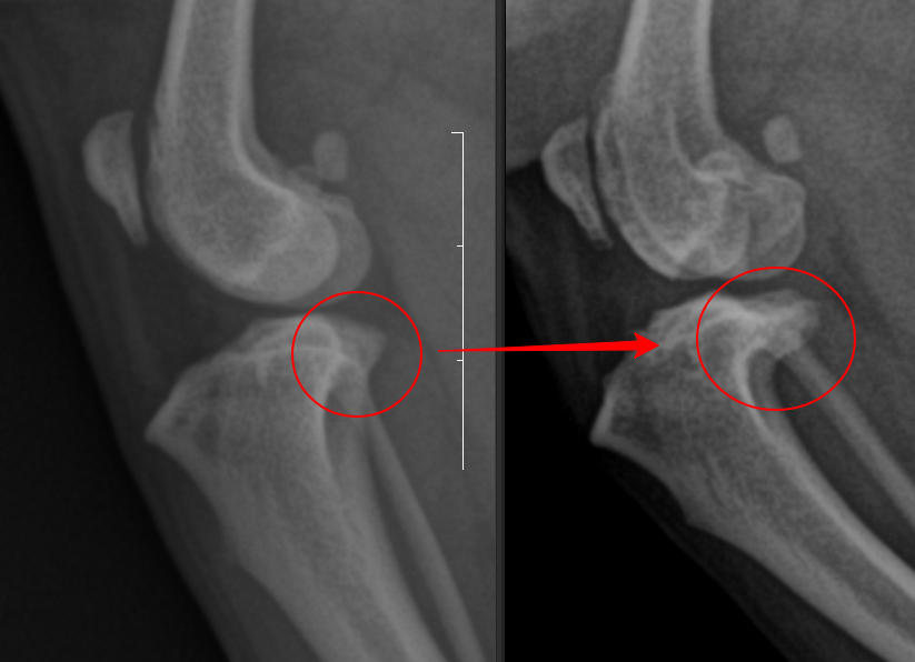
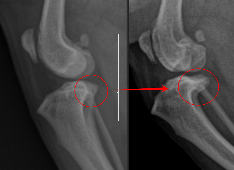
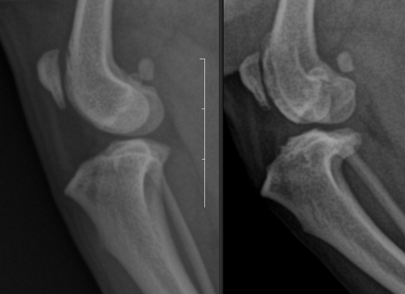
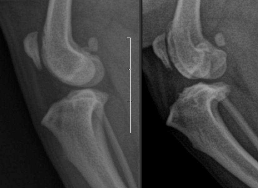
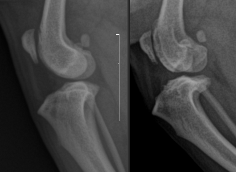
7세 CM 몰티즈, 양측성 슬개골 탈구가 있는 개.
4년 전 심한 슬개골 탈구를 보이며 좌측 후지 파행을 보여 보호자가 좌측 후지만 수술하기로 결정.
이후 우측 파행은 관찰되지 않아 수술을 하지 않음

수술을 한 좌측 다리에서는 경미한 경골 조 면부 enthesophytosis가 관찰된다. 반면 수술하지 않은 우측 다리의 경우는 완전히 다른 예후를 보인다.

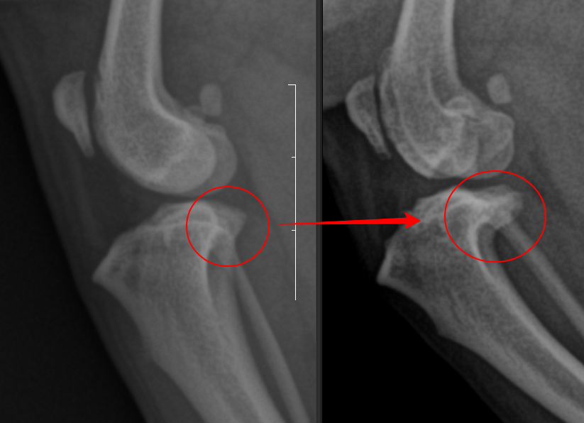
관절낭종창이나 관절의 심한 퇴행성 변화 양상은 차치하더라도 경골 조면의 후방의 골 증식양상이 뚜렷하며 이로서 경골의 TPL이 증가한 양상이 관찰된다. 이렇게 되면 십자인대에 가해지는 압력의 크기가 증가하여 십자인대가 파열할 가능성이 높으며 그 증거가 관절낭의 종창이다.
향후 십자인대의 파열 가능성이 매우 높아지게 진행된다.

슬개골 탈구는 grade가 낮을때 빨리 하는 게 가장 유리하고 수술하지 않을 때는 복합질환으로 발전한다는 사실을 반드시 명심해야 한다.
반응형
'진료 도움 자료' 카테고리의 다른 글
| 토끼의 심장크기 VHS (0) | 2023.11.29 |
|---|---|
| 반려동물 안락사 기준 체크리스트 _ 5H2M Scale (0) | 2023.11.26 |
| 반려동물의 서맥 : 심장이 늦게 뛰는 이유 (반려견 중심) (0) | 2023.10.04 |
| 귀나 몸통을 심하게 긁는 강아지 예방법 (1) | 2023.09.30 |
| 반려견과 고양이의 BUN/Crea Ratio (1) | 2023.09.15 |