몸속의 공기, 의료 과실로 단정지을 수 없다.
반응형
드라마나 영화에서 사람이나 동물에게 공기를 주입하여 살해하는 장면이 간혹 연출된다. 그래서 필드에서 예민한 보호자들은 공기방울이 조금이라도 들어가는 걸 꺼려하며 컴플레인을 하기도 한다. 특히 환자가 sudden death syndrome으로 사망하는 경우 공기방울을 근거로 의료 과실을 주장하는 경우가 간혹 있다.
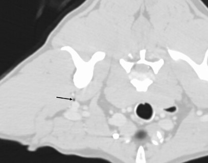
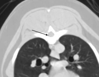
CT 촬영을 하다 보면 실제 공기방울이 심심치 않게 발견된다. 모두 의학적 이유로 발생한 것일까? 에 대한 궁금증을 풀어줄 논문이 나와 소개한다.

우연히 발견되는 가스들이 얼마나 발생하고 왜 발생하는지에 대한 궁금증을 어느 정도 풀어주는 논문이다.

근육조직에서도 발견되기도 하고 심지어

척수강 내에서도 발견되기도 한다.
거기다 그 비율은

개에서 75%, 고양이에서 60% 정도가 발견된다.
물론 다량의 공기가 혈관으로 주입된다면 문제가 발생할 수 있을 것이다. 하지만 소량의 공기는 흔하게 발생하는 현상이고 이를 모두 문제라고 말할 수 없다.
반응형
'논문겉핥기' 카테고리의 다른 글
| 무서워도 신장 세침흡인술 (0) | 2024.02.16 |
|---|---|
| 고양이 관절결핵 (1) | 2024.02.14 |
| 갑상선 기능저하증의 주요 증상 (0) | 2024.02.10 |
| IMHA나 IMT, IMPA는 언제쯤 재발하는것일까? (0) | 2024.02.08 |
| 안티세단의 비강 적용 (0) | 2024.02.06 |