치아가 사고를 치기도 한다. 고양이 농흉
반응형

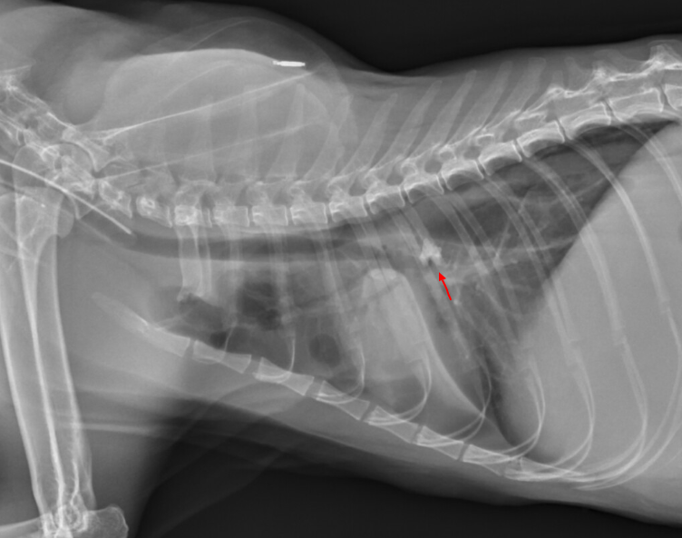
증례보고이다.
고양이가 가 농흉이 생겼는데 그 원인이 빠진 이빨을 숨 쉬다가 폐로 넘어가서 생겼다,라는 세상에 이런 일이 같은 논문이다.
드문 경우에 해당하니 너무 겁먹을 것은 없지만, 농흉이 생겼을 때 혹, 이물에 의한 농흉인지를 확인해야 한다는 경각심을 우리에게 제시한다고 하겠다.

농흉뿐 아니라 기흉도 있는 걸 볼 때 이빨이 폐를 뚫기는 뚫었나 보다 싶긴 하다. 아니면 농흉 천자하다가 폐를 찔렀거나.
반응형
'논문겉핥기' 카테고리의 다른 글
| 고양이 초음파 검사에서 신장이 석회화 되었다면? (0) | 2024.03.19 |
|---|---|
| 수의학에서의 폐혈증 정의 (0) | 2024.03.17 |
| 사료는 냉동보관합시다. (0) | 2024.03.13 |
| ADHD 치료 약물(lisdexamfetamine)의 개에서의 독성 보고 (0) | 2024.03.11 |
| 췌장염 개에서 초음파 검사의 활용 방향? (0) | 2024.03.09 |