반려견의 위벽내 농양
농양이 어디까지 생길 수 있을까?
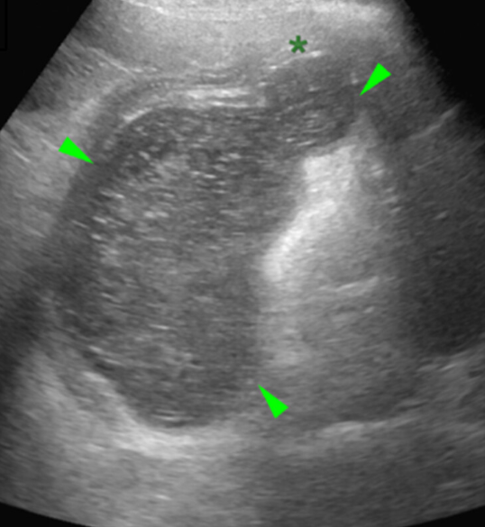
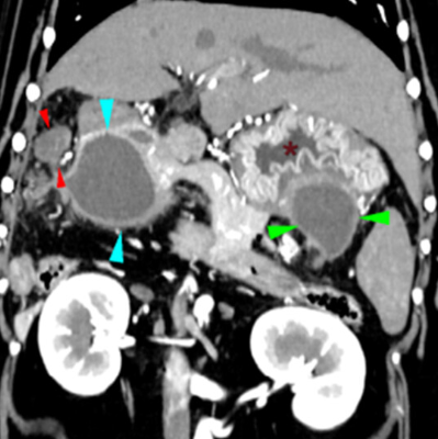
이번 증례는 위벽에서 발생한 농양 증례이다.


두꺼워졌고, 층간 구조가 잘 안 보이니 종양?이라고 생각하면 안 된다는 의미가 될 것이다.
당연히 FNA를 해보아야 한다.

다발성으로 발생한 게 눈에 띈다.
감별진단에서 꼭 빼지 말고 생각해 보아야 할 것이다.
반응형
'논문겉핥기' 카테고리의 다른 글
| 특발성 뇌수막염 강아지의 예후에 대한 최신 지견 (0) | 2024.03.25 |
|---|---|
| 고양이 맹장 천공, 세균성 복막염 (0) | 2024.03.23 |
| 고양이 초음파 검사에서 신장이 석회화 되었다면? (0) | 2024.03.19 |
| 수의학에서의 폐혈증 정의 (0) | 2024.03.17 |
| 치아가 사고를 치기도 한다. 고양이 농흉 (0) | 2024.03.15 |