고양이 SAM(systolic anterior motion)은 얼마나 있고, 개선될 수 있을까?
고양이 HCM을 평가하는 많은 지표중에 심각도의 지표로 흔히 사용되는 SAM은 얼마나 존재할까?
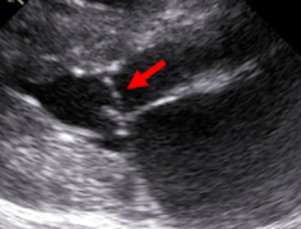
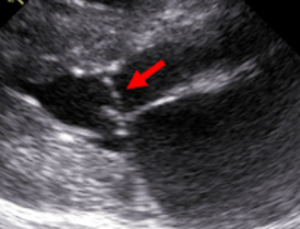
SAM은 HCM의 약 30~50%에서 관찰되는 현상이다.

AMV에 의해 좌심방 유출로가 막히는 현상을 지칭한다고 이해하면 된다.

그렇다면 SAM은 개선되기도 하는가? 라는 물음에 대한 논문이 나와 소개한다.
뉴질랜드에 있는 서준범 선생의 논문이다.
주요 결과는 다음과 같다.
|
SAM이 있다가 없어지는 경우 심실벽의 직경이 감소한다는 부분이 지적된다. 그렇다면 SAM이 없어진것은 과연 좋은 현상인가? 에 대해서는 생각을 많이 해봐야 한다.
SAM 소실이 좌심실 울혈 증가로 인한 상대적인 심근 직경 감소로 발생할 수 있다는 주장을 해볼 수 있다. 논문에서 직접적으로 언급되지는 않았지만, 가능성 있는 가설이다.
실제로 논문에서는 SAM 소실이 좌심실 자유벽 두께 감소와 관련이 있다는 결과를 제시했다. 좌심실 울혈이 심해지면 심실 내 압력이 증가하고, 이로 인해 심근벽이 압박되어 상대적으로 두께가 감소할 수 있다. 이는 SAM 소실로 이어질 수 있는 요인 중 하나가 될 수 있다. 다시 말해 SAM이 사라지는것이 꼭 긍정적인 현상으로 해석할 수는 없다는것이다.
결국 SAM의 유무에 집착하기보다는 임상증상을 포함한 전반적인 환자의 상태가 무엇보다 중요하다는 의미. 너무 수치와 현상에 몰입하지 말아야 한다는 의견이 될 수 있다.
반응형
'논문겉핥기' 카테고리의 다른 글
| 반려견의 MRI 검사에서 midline shift가 관찰될 (1) | 2024.10.21 |
|---|---|
| 반려견의 결석, 사료로 녹일 수 있다? (0) | 2024.10.19 |
| 한국의 고양이 에이즈 비율 : FIV 유병률 (2) | 2024.10.11 |
| 고양이에서의 메네트레예 질병 ; 거대 비대성 위염 (0) | 2024.10.10 |
| 수컷 고양이를 중성화 수술하지 않으면 고환에서는 어떤 병이? (2) | 2024.10.09 |