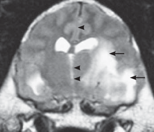
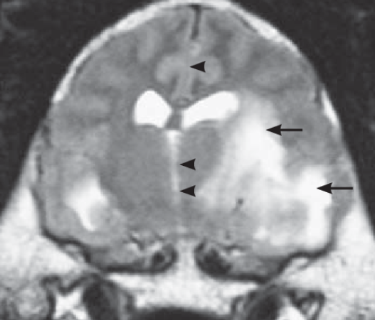
반려견의 MRI 검사에서 midline shift가 관찰될

원인이 무엇이건 뇌병변이 있을 때 일부 개들에서는 위 사진의 화살표 머리처럼 중심이 한쪽으로 밀리는 현상이 자주 관찰된다. 이걸 두고 midline shift라고 하는데 이 현상이 예후에는 어떤 영향을 끼칠까? 에 대한 논문이 나왔다. 상식선에서 생각해 보아도 예후가 불량할 것이라는 추론이 가능하지만 추론과 실제 증명은 의미가 다르니 참고할 근거 자료이다.

|
반응형
'논문겉핥기' 카테고리의 다른 글
| 고양이의 Septal Pouch(SP) 에 대한 최초보고 (1) | 2024.10.27 |
|---|---|
| 반려견에서의 거대 비대성 위염? 메네트리예 질환 ; Ménétrier-like disease (0) | 2024.10.25 |
| 반려견의 결석, 사료로 녹일 수 있다? (0) | 2024.10.19 |
| 고양이 SAM(systolic anterior motion)은 얼마나 있고, 개선될 수 있을까? (0) | 2024.10.13 |
| 한국의 고양이 에이즈 비율 : FIV 유병률 (2) | 2024.10.11 |