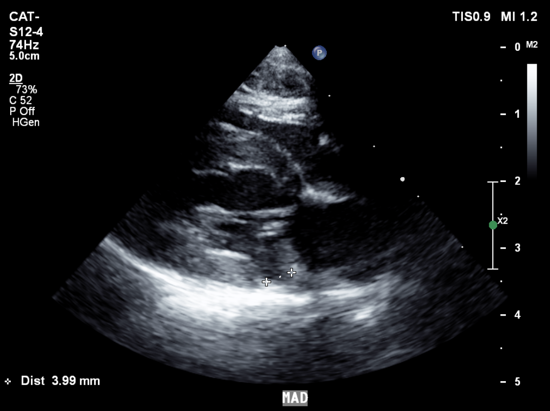
고양이 MAD(mitral annular disjuction) 실 증례
반응형

12yr, castrated male pertian cat
low grade HCM and arrythmia
grade 1 LVDD
https://diamed.tistory.com/1297
개와 고양이의 승모판륜 이탈(Mitral Annular Disjunction, MAD)
개와 고양이의 승모판륜 이탈(Mitral Annular Disjunction, MAD): 임상 수의사를 위한 종합적 고찰I. 서론: 수의 심장학의 새로운 인식 대상 승모판륜 이탈(Mitral Annular Disjunction, MAD)은 최근 인간 심장학 분
diamed.tistory.com
반응형
'영상의학 검사 > 임상 증례_샘플' 카테고리의 다른 글
| 10yr CM miniature poodle UAP suspected case (0) | 2025.08.17 |
|---|---|
| oral plasmacytoma in dog (0) | 2025.07.17 |
| feline joint mice radiography sample (0) | 2025.02.27 |
| feline IBD(inflammatory bowel disease) cast ultrasonographic image sample (0) | 2025.02.26 |
| feline intrahepatic bile calculi : radiography (0) | 2025.02.25 |