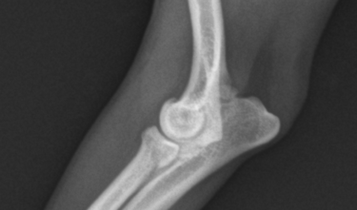
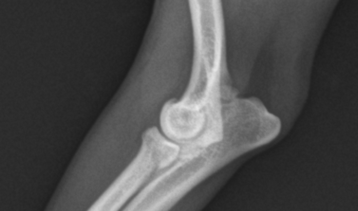
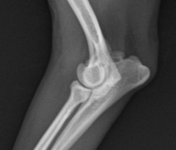
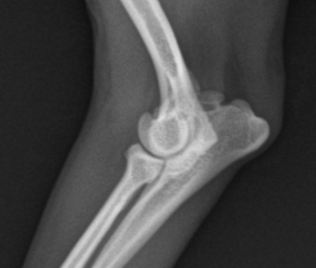
10yr CM miniature poodle UAP suspected case
반응형


ununited anchoneal process
반응형
'영상의학 검사 > 임상 증례_샘플' 카테고리의 다른 글
| 고양이 MAD(mitral annular disjuction) 실 증례 (1) | 2025.07.18 |
|---|---|
| oral plasmacytoma in dog (0) | 2025.07.17 |
| feline joint mice radiography sample (0) | 2025.02.27 |
| feline IBD(inflammatory bowel disease) cast ultrasonographic image sample (0) | 2025.02.26 |
| feline intrahepatic bile calculi : radiography (0) | 2025.02.25 |