고양이 앞다리 파행의 숨은 원인, 상완골 내측 상과염(MHE)
1. 연구 배경: 왜 이 연구가 필요했을까요?
상완골 내측 상과염(Medial Humeral Epicondylitis, MHE)은 고양이 앞다리 파행의 원인으로 점차 중요하게 인식되고 있습니다. 이는 사람의 '골퍼 엘보'와 유사한 질환으로, 힘줄에 반복적인 스트레스가 가해져 발생하는 퇴행성 변화입니다. 하지만 고양이 MHE에 대한 정보는 매우 부족하여, 지금까지 발표된 임상 보고는 소수의 사례에 국한되어 있었습니다. 특히 기존의 진단은 주로 방사선 촬영에 의존해왔기 때문에, 광물화(mineralization)와 같은 명백한 구조적 변화가 나타나기 전인 초기 단계의 질병을 놓쳤을 가능성이 제기되었습니다. 이번 연구는 9마리 고양이(17개 팔꿈치 관절)의 임상 증상, 진단 결과, 그리고 치료 반응을 상세히 분석하여 이 질환에 대한 이해를 넓히는 것을 목표로 합니다.

2. 연구 방법: 어떻게 진행되었나요?
이번 연구는 특정 단일 의료 기관의 의료 기록을 바탕으로 한 후향적 증례 시리즈(retrospective case series)로 설계되었습니다. 방사선 촬영을 통해 MHE로 확진된 총 9마리의 고양이(17개 팔꿈치)가 연구에 포함되었습니다. 이들은 모두 실내에서만 생활하는 고양이들이었으며 , 비수술적 치료를 우선 시도했고, 이후 수술적 치료를 받은 경우까지 장기적인 경과 관찰 기록을 분석했습니다. 연구팀은 각 고양이의 품종, 나이, 체중과 같은 기본 정보와 함께 파행의 양상, 정형외과 검사 소견, 방사선 및 CT, 초음파 영상 소견, 그리고 각 치료법에 대한 반응을 종합적으로 평가했습니다.
3. 핵심 결과: 무엇을 발견했나요?
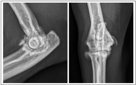
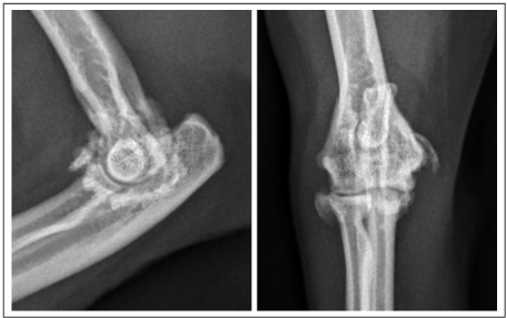
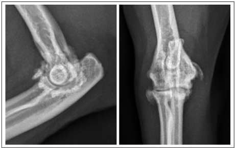
- 결과 1: 주요 임상 증상 및 새로운 발견 대부분의 고양이(8/9마리)는 특별한 외상 없이 서서히 시작되는 앞다리 파행을 주증상으로 내원했습니다. 정형외과 검사상 팔꿈치 관절 내측 상과 부위의 통증(15/17개 관절)이 특징적이었으며, 이전에는 보고되지 않았던 중요한 소견으로, 7개의 팔꿈치에서 내측 상과 원위부에 딱딱한 광물 침착이 촉진되었고, 이 중 6개는 촉진 시 통증을 유발했습니다.
- 결과 2: 영상 진단의 유용성 방사선 검사만으로는 질병의 전체적인 상태를 파악하기 어려웠습니다. CT 촬영을 진행한 10개의 팔꿈치 중 7개에서 방사선으로는 확인되지 않았던 추가적인 문제, 특히 **관절 내 유리체(mineralized bodies)**가 5개의 팔꿈치에서 발견되었습니다. 또한, 방사선 소견이 경미했던 4개의 팔꿈치에 대해 초음파 검사를 시행한 결과, 힘줄 주변의 미세한 염증과 초기 단계의 광물 침착을 발견할 수 있어 조기 진단에 대한 초음파의 가능성을 확인했습니다.
- 결과 3: 치료 반응의 차이 비수술적 관리(소염제, 재활 치료 등)에 대한 반응은 방사선 등급에 따라 차이를 보였습니다. 방사선학적으로 '경증(mild)'으로 진단된 8개 팔꿈치 중 7개에서 완전 또는 부분적인 개선을 보인 반면, '중등도(moderate)'로 진단된 7개의 팔꿈치는 전혀 반응이 없었습니다. 수술을 받은 4마리 고양이(7개 팔꿈치) 모두에게서 척골 신경염(ulnar neuritis)이 확인되었으며, 수술 후 3마리(5개 팔꿈치)는 파행이 완전히 해소되는 좋은 예후를 보였습니다.

4. 임상적 의의 및 결론: 그래서 이 연구가 왜 중요할까요?
이번 연구는 고양이 MHE에 대한 중요한 임상적 통찰을 제공합니다. 첫째, MHE는 과거에 알려진 바와 달리 활동적인 실외 고양이에게만 국한된 질환이 아니며, 모든 고양이에게서 고려되어야 할 파행의 원인임을 명확히 보여주었습니다.
둘째, 팔꿈치 내측 상과 주변에서 딱딱한 구조물이 만져지는지 확인하는 촉진이 매우 중요한 진단 단서가 될 수 있음을 시사합니다. 이는 모든 앞다리 파행 고양이의 신체검사에서 반드시 포함되어야 할 항목입니다.
셋째, 진단 도구의 활용에 대한 중요한 관점을 제시합니다. 방사선에서 광물 침착이 뚜렷해졌을 때는 이미 비수술적 치료의 효과가 떨어지는 만성 단계일 수 있습니다. 따라서 임상 증상이 의심될 경우, 초음파와 같은 정밀 영상 검사를 통한 조기 진단이 비수술적 치료의 성공률을 높일 수 있습니다. CT 검사는 수술이 필요한 경우, 관절 내 유리체 존재 여부를 확인하여 수술 계획을 세우는 데 필수적입니다.
마지막으로, 보존적 치료에 반응하지 않는 만성 증례에서 신경염을 동반한 경우가 많으며, 수술적 치료를 통해 좋은 결과를 기대할 수 있다는 점을 재확인했습니다.
5. 요약 및 마무리
본 연구는 고양이 상완골 내측 상과염(MHE)이 서서히 발생하는 앞다리 파행의 중요한 원인이며, 진단 시 면밀한 촉진과 함께 방사선 외 초음파나 CT와 같은 영상 진단을 적극적으로 고려해야 함을 강조합니다. 특히 질병 초기에 진단될수록 비수술적 치료의 예후가 더 좋을 수 있으므로, 임상 현장에서 이 질환에 대한 경각심을 높일 필요가 있겠습니다.
'논문겉핥기' 카테고리의 다른 글
| 반려견 외경정맥 확장성 지수(EJVDI)를 이용한 수액 반응성 예측: 새로운 비침습적 지표의 가능성 (0) | 2025.08.15 |
|---|---|
| 급성 췌장염 회복 후, 리파아제 수치가 높아도 괜찮을까요? (3) | 2025.08.13 |
| 반려동물 외상 환자의 급성 신장 손상(AKI): 유병률 및 예후 심층 분석 (3) | 2025.08.09 |
| 독립적인 고양이는 정말 더 아파할까요? (2) | 2025.08.07 |
| 개의 TCC 에서 새로운 비 발암성 항암제 (1) | 2025.07.28 |