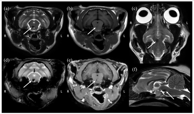
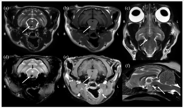
전신고혈압과 관련이 있는 것으로 추정되는 가역성의 안면신경 마비가 있는 고양이 증례
반응형


전신고혈압으로 인하여 발생한 뇌출혈등으로 안면신경 마비가 올 수도 있다는 의미이지
안면신경이 마비된 상태는 전신고혈압을 의미한다고 여기면 안됨
안면신경 마비가 있는경우 뇌 MRi 를 반드시 촬영해 보라는 논문으로 해석하는 편이 옳음 (다른 증례는 종양이었음)
반응형
'논문겉핥기' 카테고리의 다른 글
| 반려견의 독극물 치료, 중독의 치료 (0) | 2022.03.30 |
|---|---|
| 개 췌장염에서 보이는 cullen's sign에 대한 증례보고 (0) | 2022.03.29 |
| 범백에 걸린 고양이는 얼마나 격리해야 할까? (0) | 2022.03.27 |
| 고양이 요도 막힘의 가장 확실한 예방법 (0) | 2022.03.27 |
| 만성신부전 고양이에서 omeprazole 의 식욕 항진 능력에 관한 논문 (0) | 2022.03.26 |