반려견 HCM 증례들에 대한 고찰

소형견을 주로 키우는 한국의 상황때문에
개의 심장병은 MVD
고양이의 심장병은 HCM으로 굳어져 선천성 질환을 제외하고 다른 질환에 대해서는 고려하지 않는 경향들이 많다.
너무 한쪽의 자극이 많아 유연성이 떨어진다고나 할까?
그래서 이 논문은 한국 임상가들에게 중요한 발상의 전환점이 될 수 있을것으로 생각된다.
concentric hypertrophic phase에 진입되어 있는 환자 345마리중에 68마리가 HCM으로 진단된 경우이기 때문에 대략 5마리중 1마리는 HCM이었다는 말이 되어 상당수가 HCM임을 알 수 있다.
물론 concentric hypertrophic phase 인 상태에서 병원에 오는 경우가 그렇기 많지는 않기에 여전히 소형견의 주 발생 심장질환은 MVD라고 해야 한다.

이 연구에서는 특히 소형견에서 호발한것으로 언급되고 있는데 미국의 환경상 대형견중심으로 사육되고 있는점을 볼때 확실히 소형견이 다발 할 수 밖에 없다고 추산하는게 합리적일 듯 하다.

임상증상의 중복 평가는 이러하고 무증상도 28마리에서 나타나는것을 볼때 실제 절반정도는 증상없이 진행될 가능성이 높다는걸 보여준다.
다른 말로 그만큼 무증상 상태에서도 평가가 필요하다는것.

심장 초음파 검사상에서도 이완능 관련하여 이완능 감소 페턴을 보이는 경우가 많았지만 이또한 50% 이하여서 이완능이 정상이라고 하여 HCM 을 배제해서는 안된다.

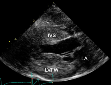
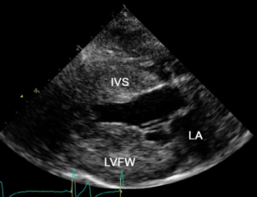
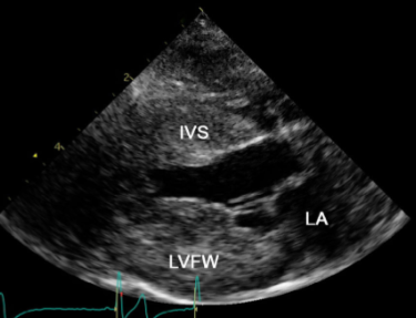
그러나 B mode상에서 확실한 심근의 비후 양상이 보이기 때문에 이보다 더 강력한 진단수단은 없다.
'논문겉핥기' 카테고리의 다른 글
| 교상 이후 발생한 개의 ADH 과분비 증후군 (0) | 2022.04.20 |
|---|---|
| 노령의 카바리안 킹 찰스 스파니엘의 간대성근경련증 (0) | 2022.04.19 |
| 고양이 위 게실 증례 (0) | 2022.04.17 |
| 슬개골 탈구 수술은 언제하는게 좋은가? (0) | 2022.04.17 |
| 고양이 피부림프종 증례에 대한 논문 (0) | 2022.04.16 |