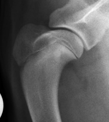
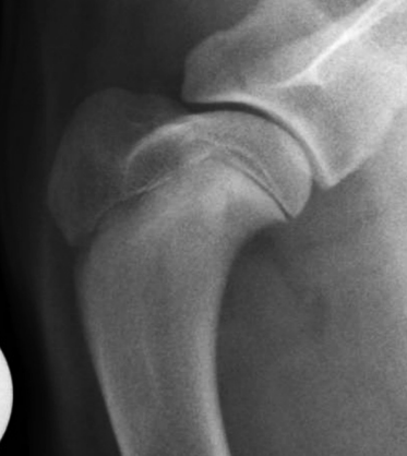
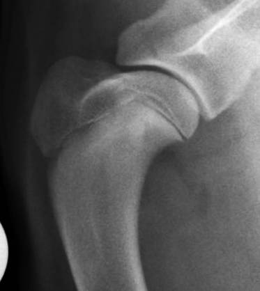
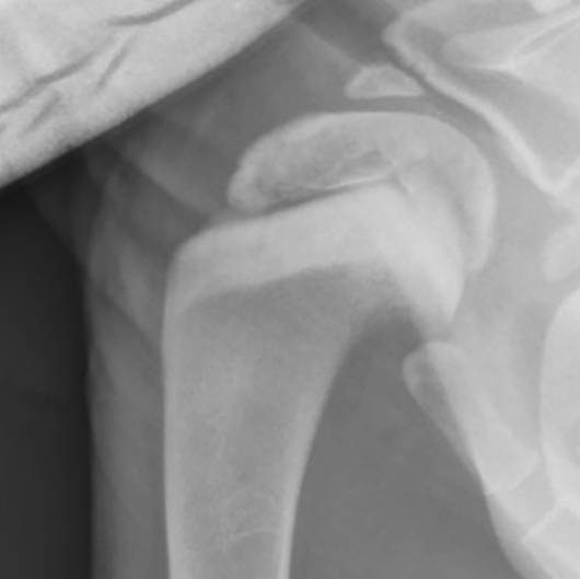
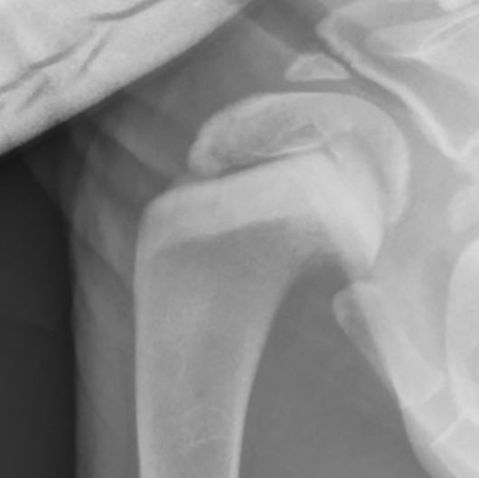
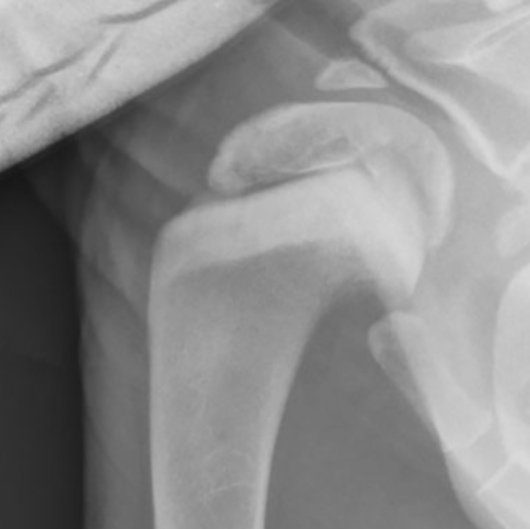
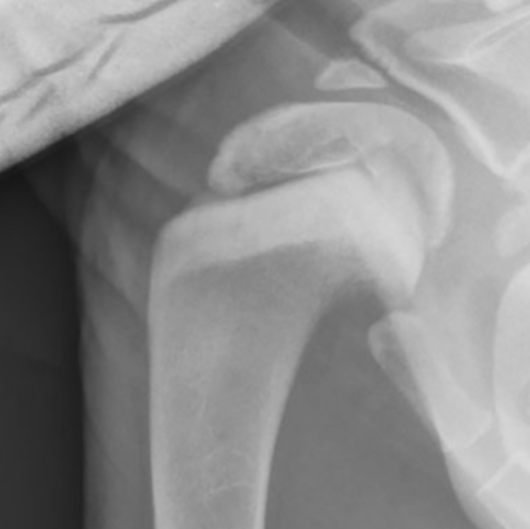
개홍역의 골격계 후유증



보통 후유증으로 틱장애를 가진 신경증상, 치아 애나멜층의 결손등이 거론되는데 방사선상에서 metaphysis의 sclerosis가 유발되는 사례에 대한 보고이다.
참고하고 성견에서 방사선상 이런 병변이 관찰된다면 어린시절 홍역에 감염되었을 가능성이 있는것으로 보고 신경계나 심혈관계 이상에 대한 진단 접근을 해야 할것으로 보인다.
반응형
'논문겉핥기' 카테고리의 다른 글
| 중성화수술된 수컷개가 만성적으로 여성호르몬에 노출된다면? (0) | 2022.07.31 |
|---|---|
| 만성신부전 강아지의 중증도 평가의 새 기준? (0) | 2022.07.30 |
| 원발성 면역매개성 혈소판감소증에서 비장을 적출해야 하는 이유. (0) | 2022.07.28 |
| PSS 수술전 관리는 어디까지 하면 될까? (0) | 2022.07.27 |
| 반려견과 반려묘의 마취 사망율 (0) | 2022.07.26 |