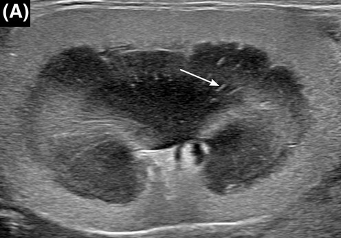
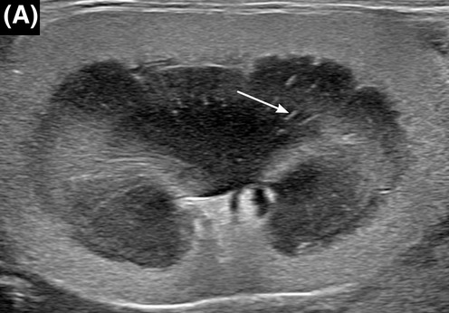
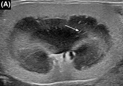
고양이 신장 초음파상 흰색 줄이 보인다면?

화살표처럼 수질부에 수직으로 고에코성 줄무늬가 간혹 보일 수 있는데 이것이 있을때 무엇을 의심해야 하는가, 혹은 의심해도 되는가에 대한 논문이 나왔다. 일반적인 medullary rim sign과는 다른 병변이다.

결론적으로

단백뇨와 요로계 감염과 관련이 있다는 결론이 나왔다.
즉, 건강검진상에서 해당 양상의 병변이 초음파 검사상 관찰된다면 뇨검사 및 지속적인 신장 평가를 위한 모니터링이 필요하다는 말.
반응형
'논문겉핥기' 카테고리의 다른 글
| 연구개 노장 수술에서의 하모닉 사용 (0) | 2022.11.06 |
|---|---|
| 혈소판증다증이 있는 개의 감별진단? (0) | 2022.11.04 |
| 치아가 부러진 고양이가 호흡이 않좋다면? (0) | 2022.10.29 |
| discospondylitis 가 있는 개의 CT 소견 (0) | 2022.10.28 |
| 보더콜리 분양시 관상을 봐야 하는 이유 (0) | 2022.10.26 |