깨어 있는 상태에서 이를 가는 강아지?
반응형
이갈이 말고 이를 까드득하고 가는 행동은 사람에서는 자는 동안 많이 일어나는 현상이다.
이는 대부분 스트레스 등으로 인한 심리적 영향으로 잠잘때 나타나는게 일반적이며
개도 잠들어 있는 동안 이런식으로 이를 까드득 가는 경우가 있을 수 있다.
그런데 잠에 든게 아니라 깨어 있는 상태에서도 까드득 하고 이를 가는 강아지가 간혹 있을 수 있는데
스트레스 요인이 주요한 고려사항이겠지만
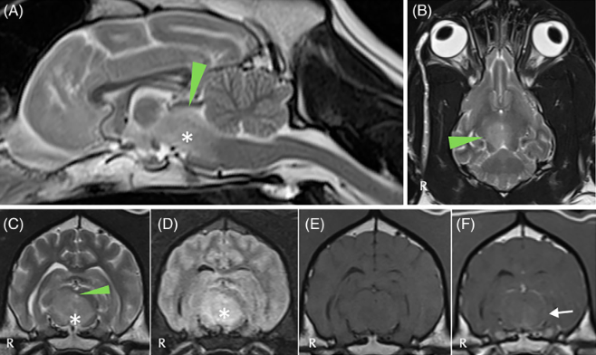
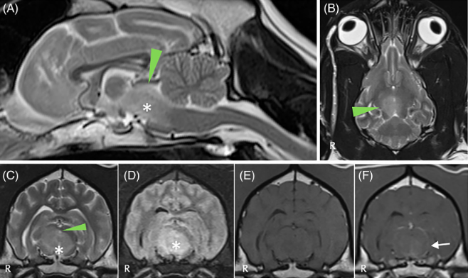
전뇌의 이상 즉, 뇌의 질병에 의해서도 이를 갈 수 있다는것을 보여주는 증례가 보고되었다.

4케이스를 가지고 보고했으니 그 증례가 많지는 않겠네. 라고 생각할 수도 있겠지만
MRI 까지 촬영하여 진단한 증례만을 보고하는것이기에 진단되지 않은 환자는 더 많을 수도 있다는것을 의미한다.
충분히 상식선에서 참고하고 기억해볼만한 행동학적 특징이니 기록해둘것.

반응형
'논문겉핥기' 카테고리의 다른 글
| 강아지 심내막염의 유병율 : 생각의 대전환이 필요한 시기가 되었다. (0) | 2022.11.22 |
|---|---|
| elastography의 신부전 고양이 환자 적용. (0) | 2022.11.18 |
| 십자인대 수술 후 진통제는 과연 효과가 있는가? (0) | 2022.11.14 |
| 면역매개성 다발성 관절염 반려견에서의 치료 효과 (0) | 2022.11.12 |
| 반려견, 고양이에서의 자몽 독성 (0) | 2022.11.08 |