CT로 보는 라브라도 리트리버의 담도 직경
반응형

담도계 관련한 해부학적 구조는 담도계 질환에 대한 수술 및 초음파 검사등을 위해서 외과나 영상의 모두 숙지해야 한다.
일반의나 내과의도 CT 영상을 판독할 필요가 높아지고 있는 시대이기에 어느정도 이상의 해부학적 구조를 평가할 수 있어야 한다.
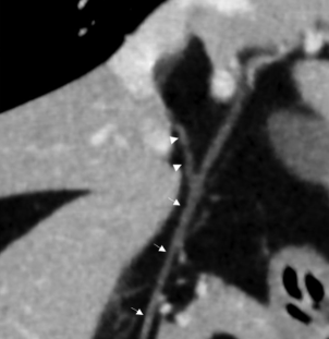
세부 항목은 각자 보는것으로 하고 눈에 띄는부분은 정상적인 총담관의 직경이다.
초음파상으로 4mm 이하면 정상으로 보는데 사실 소형견인 국내에서는 비 공식적으로 확장 자체를 비정상으로 본다.
그렇다면 CT상에서는 어떠할까?

가작 두꺼워 봐야 4.5mm 이다.
하지만 꼭 기억해야 할것이
1. 이건 관광의 두께가 아니라 내부 공간을 포함한 담도 전체의 직경을 말하는것이다. 즉, 내부 관광은 훨씬 좁다는것을 의미하고
2. 대형견에 해당하는 라브라도가 기준이라 더 작은 개체인 소형견을 생각한다면
한국 수의사들이 생각하는 초음파상에서 총담관은 확장이 없는게 정상이라는 일반적인 추론은 합리적인 의심이란것이다.
물론 고양이는 확장이 있어도, 사행성 변화가 있어도 크게 문제가 없는경우가 대부분인점은 별개로 생각해야 한다.

반응형
'논문겉핥기' 카테고리의 다른 글
| 스웨덴 고양이는 무슨 이유로 병원 ICU에 입원하는가? (0) | 2023.03.14 |
|---|---|
| 고양이 에디슨(부신피질기능저하증) 진단 기준과 치료법 (0) | 2023.03.12 |
| 암처럼 보이지만 암이 아닐 수 있다. (0) | 2023.03.08 |
| 퍼그의 척수질환 최신 지견 (0) | 2023.03.06 |
| 담관 파열한 고양이 증례 (0) | 2023.03.04 |