개 폐포자충증(pneumocystosis)의 치료
한국에 존재하고 간혹 보이는 질환이지만 그 진단이 어려워 자주 거론되지 않는 대표적인 질환중 하나가 pneumocystosis이다. 폐포자충증이라고 하고 개의 폐 섬유화증의 주 원인중 하나이다.
본인도 임상에서 실제 경험사례가 있지만 대부분 진단은 부검을 통해서 일어났었다.
관련된 기억을 상기시기키에 충분한 증례가 있어 소개한다.

이 증례는 눈과 전신 감염이 동반된 2마리의 치와와를 대상으로한 보고인데 안과 질환이 폐포자충에 의해 일어날 수 있는것이 특이적이어서 보고되었다고 보면된다.
역시 주증은 폐포감염에 의한 폐섬유화증이 문제이다.

뚜렷한 간질 침윤때문에 간질성 폐렴이나 기관지염으로 치부될 수 있으나 특징적으로 다른 원인 없이 호흡이 가파른 양상을 보일 수 있는게 특징,
본인이 겪은 증례에서는 폐포가 결국 섬유화로 뻣뻣해져서 찢어져서 기흉으로 급사한 사례도 있었으니 실제 호흡이 빠른것은 매우 좋지 않은 상태로 보아야 한다.
즉, 예후가 매우 불량해진다.

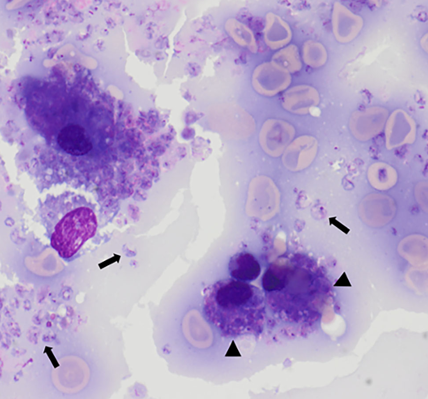
원내 검사로 BAL을 통해 세포학적 검사를 하면 가진단을 할 수 있으나 확진을 위해서는 특수 염색 검사가 필요할 수 있다. 물론 이 논문에서는 특수 형광염색이 아닌 PCR 검사를 통해 확진했다.
치료는 trimethoprim-sulfamethoxazole (TS) 이 유효하여 본 논문에서도 1마리는 생존, 1마리는 사망했다고 말하고 있다.
개인적 임상경험으로 호흡속도가 빨라진 상태 즉, 폐섬유화가 진행된 상태라면 TS를 통한 치료는 악화를 막는 의미가 있지 근본적인 치료가 되지는 않았다.
'논문겉핥기' 카테고리의 다른 글
| 방광벽에서 물주머니들이 보인다면? (0) | 2023.05.26 |
|---|---|
| 3살짜리 고양이의 심장 종양 (0) | 2023.05.24 |
| 개미 살충제를 먹은 강아지? (0) | 2023.05.20 |
| 심장사상충 말고 피부사상충 (0) | 2023.05.18 |
| 개와 고양이에서 농흉이 생기는 주요 원인은 뭘까? (0) | 2023.05.16 |