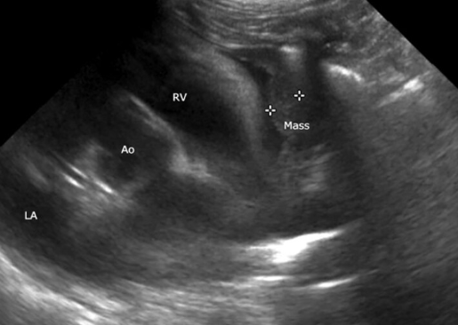
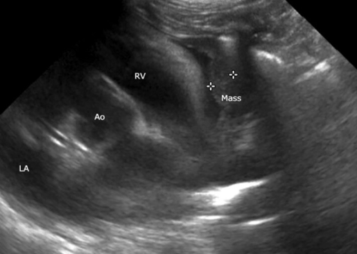
3살짜리 고양이의 심장 종양

심낭에서 발생한 육종에 대한 보고이다.
이런 보고들의 의의는 나이가 어리다고 하여 종양을 배제하지 말라는 경고(?) 같은 것이다.
다만 전통적인 진단 기준처럼 "a cat"이라는 의미는 한마리 가지고 보고할정도로 희박한 사항이니 너무 이런 특이 케에스에 매몰되지 말라는 의미이기도 하다.

초음파 영상을 봤을때 나라면 어떻게 했을까? 를 고민해 봐야 한다.
나라면 아마도 심낭막염이나 흉막폐렴에 의한 장측 흉막 비후 정도를 우선하여 고려했을것이고
그래서 일차적으로 면역치료하고 강한 항생제 치료를 권했을것 같다.
당연히 치료반응이 없으면 수술을 통해 심낭절제술을 하면서 검체를 조직검사 보내보자고 했을듯,
반응형
'논문겉핥기' 카테고리의 다른 글
| 별놈의 지방종, 고양이 견갑골 뼈속부터 지방종? (0) | 2023.05.28 |
|---|---|
| 방광벽에서 물주머니들이 보인다면? (0) | 2023.05.26 |
| 개 폐포자충증(pneumocystosis)의 치료 (0) | 2023.05.22 |
| 개미 살충제를 먹은 강아지? (0) | 2023.05.20 |
| 심장사상충 말고 피부사상충 (0) | 2023.05.18 |