방광벽에서 물주머니들이 보인다면?
반응형
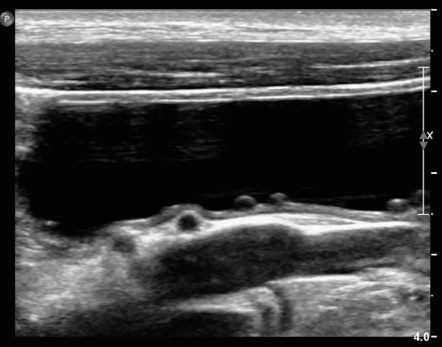
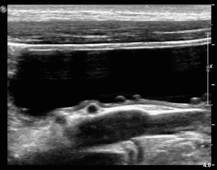
간혹 개나 고양이 환자들의 방광염 검진을 하다보면 방광벽에 동그란 물주머니들이 보이는 경우가 드물지만 있는데
어떤 질환을 의심할 수 있을까?

이번 환자처럼 여러개가 있다면 끔찍할만큼 혐오스럽게 생겼기에 놀래고
방광의 등쪽에 위치하고 있어 방광염보다는 오히려 종양성 신생물의 가능성을 고려하는게 병리학적 접근일 수 있다.
하지만 방광에서 주로 발생하는 이행상피암종의 일반적 양상에 비해 너무 구획이 잘 일어나 있어서 종양으로 확신하고 말하기 어려운 소견이기도 하다.

이번 증례는 그런 현상을 보이는 개에서의 진단 결과를 종합한것으로 특히 대장균 기원의 방광염 환자에 대한 자료이다.

방광내시경 결과도 있으니 참고하면 좋은 자료가 될듯 하다.
반응형
'논문겉핥기' 카테고리의 다른 글
| 고양이 침윤성장질환과 장종양의 구분 방법 (0) | 2023.05.30 |
|---|---|
| 별놈의 지방종, 고양이 견갑골 뼈속부터 지방종? (0) | 2023.05.28 |
| 3살짜리 고양이의 심장 종양 (0) | 2023.05.24 |
| 개 폐포자충증(pneumocystosis)의 치료 (0) | 2023.05.22 |
| 개미 살충제를 먹은 강아지? (0) | 2023.05.20 |