고양이 심박수를 낮추는 미주신경 자극법

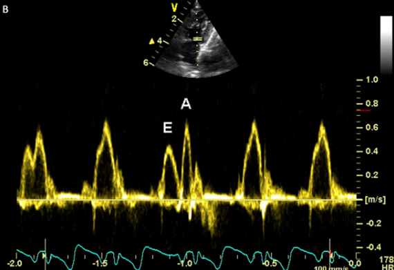
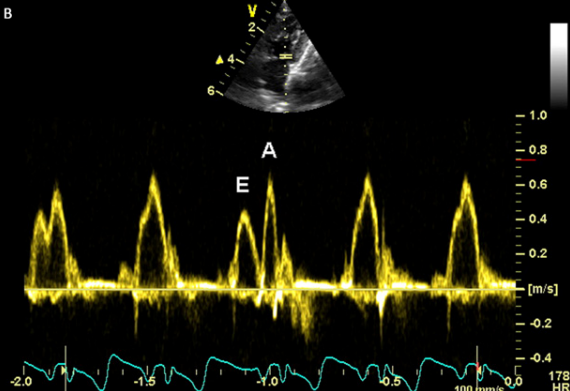
고양이 심장 초음파 검사를 할때면 대다수가 E,A peak가 합쳐져 버린다. 이때 약물을 통해 심박수를 낮출 수는 있지만 통상 약물에 대한 보호자의 거부때문에 약물 투여는 하지 못하는경우가 대부분이다.

약물 이외의 방법으로 심박수를 낮추는 방법은 없겠는가? 있다면 어느정도 효과일까? 가 이 논문의 핵심 주제다.
![]() |
![]() |
안구압박법과 인중압박법을 제시하여 평가하고 있다.
| 방법 | 안구 압박 | 인중 |
| 자극 부위 | 닫힌 눈꺼풀 위의 안구 |
코 주변의 털이 없는 부분(비익) : 인중
|
| 자극 방식 | 부드럽게 누르기 | 부드럽게 마사지 |
| 효과 | 심박수 감소, 융합된 도플러 파형 분리 |
심박수 감소, 융합된 도플러 파형 분리
|
| 성공률 | 심박수 감소: 100%, 파형 분리: 71% |
심박수 감소: 100%, 파형 분리: 72%
|
| 지속 시간 | 짧음 (일반적으로 20초 미만) |
짧음 (일반적으로 15초 미만)
|
| 장점 | 빠르고 즉각적인 효과, 비침습적, 안전, 간편 |
빠르고 즉각적인 효과, 비침습적, 안전, 간편
|
| 단점 | 압박 강도 조절 필요, 개체 차이 존재, 효과 지속 시간 짧음 |
자극 강도 조절 필요, 개체 차이 존재, 효과 지속 시간 짧음
|
| 기타 | 양쪽 눈 압박이 더 효과적, 안와 주변 압박 중요 |
고양이 비익은 자극에 민감, 안구 압박과 병행 효과적
|


| 그림 5는 '안구-심장 반사 (Oculo-cardiac reflex)'와 '비강-심장 반사 (Nasal-cardiac reflex)'의 발생 과정을 보여주는 그림입니다. 이 두 반사는 미주 신경 자극(vagal maneuver)을 통해 유발되며, 궁극적으로 심박수 감소를 초래합니다. 그림을 자세히 설명하면 다음과 같습니다. 1. 구심성 경로 (Afferent pathways)
|
반응형
'진료 도움 자료' 카테고리의 다른 글
| canine tei._large breed (0) | 2024.10.30 |
|---|---|
| 슬개골 탈구는 왜 아플까? : 통증 유발 기전 (0) | 2024.10.05 |
| 고양이 심장 이완능 측정 파형 판독 기준 (0) | 2024.08.22 |
| 고양이의 췌장염 사망률 (0) | 2024.08.16 |
| 반려견의 전립선 비대 초음파 기준 (0) | 2024.08.15 |

