반려견의 비강 혈관 섬유종

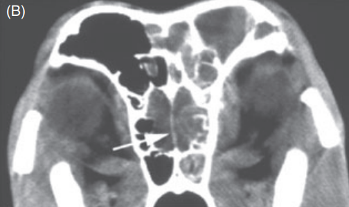
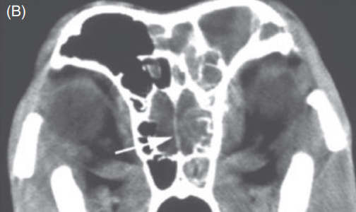
-oma로 끝나는 양성 종양인 Angioifibroma 즉, 혈관섬유종이 비강에서 발생한 증례들에 대한 보고다. 희귀질환으로 이 종양은 조직학적으로 양성 종양이지만 종양에 의한 주변 조직의파괴적 양상이 방사선 및 CT 검사에서 관찰되는 특이한 질환에 해당한다.

CT상에서 두개골이 융해된 양상을 보이는 등 악성 종양의 전형적인 특징들이 보이게 된다.

또한 전두엽까지 침습한 양상의 악성종양의 조건을 모두 갖추고 있다.
하지만 전술한것처럼 이 종양은 조직학적으로 - fibroma 로 양성종양에 해당하는 특징을 보이는게 특징이기도 하다.
주 증상은 종양의 악성 행동 양상에 따라 다양하게 나타나며, 초기에는 비염 증상에서부터 비출혈, 뇌로의 전이시에는 경련이나 급사까지 다양한 증상을 보일 수 있다.
비강 혈관섬유종은 초기에는 천천히 진행되지만, 일단 진행되기 시작하면 매우 공격적이고 파괴적인 병변을 형성하는 경향이 있는 것으로 보고 있다.
양성 종양의 특징에 해당하는 부분도 있어 원격 전이는 보고되지 않았다. 즉, 주변 림프절이나 폐, 간 등의 다른 장기로의 전이가 관찰된 증례는 없었다는것.
예후는 침습의 양상 및 침습 범위, 종양의 행동 양식에 따라 다양하다. 치료는 수술적제거와 방사선요법이 제시되고, 대부분의 두부 악성종양에서와 같이 수술적으로 완전 절제와 접근이 어려운 경우가 많아 통상적으로 방사선 요법이 표준 치료로 제시된다. 항암요법의 경우 이 종양이 양성종양에 해당하기 때문에 통상 치료 반응이 불량하다.
'논문겉핥기' 카테고리의 다른 글
| 고양이 림프종 항암요법 치료율 (0) | 2024.09.01 |
|---|---|
| 디스크가 있는 개의 비수술적 치료의 효과, 예후 (0) | 2024.08.20 |
| 림프종 진단되는 반려견에서 뇨검사를 반드시 해야 하는 이유 (0) | 2024.08.10 |
| 넌 어디까지 꼬여봤니? : 자궁염전 (0) | 2024.08.06 |
| 2023년도 미국 동물병원 협회 노령견, 노령묘 관리 가이드라인 (1) | 2024.08.02 |