반려견에서의 거대 비대성 위염? 메네트리예 질환 ; Ménétrier-like disease
반응형

Ménétrier 유사 질환이란
| 메네트리에 유사 질환(Ménétrier-like disease, MLD)은 개에서 매우 드물게 발생하는 위 질환으로, 사람의 메네트리에 질환과 유사한 특징을 보입니다. 이 질환은 위 점막의 비대와 낭포성 변화를 특징으로 하며, 주로 노령견에서 발생합니다. 주요 증상으로는 식욕 부진, 체중 감소, 구토 등이 있으며, 심한 경우 저알부민혈증이나 단백질 소실성 장병증이 나타날 수도 있습니다. 진단은 주로 영상 검사와 조직 검사를 통해 이루어집니다. 복부 초음파에서는 위벽이 두꺼워지고, 점막이 비대해져 주름이 위 내강으로 돌출되어 있는 모습을 관찰할 수 있습니다. 또한, CT 검사에서는 뇌회 모양의 위 점막 주름이 특징적으로 나타납니다. 조직 검사를 통해 foveolar hyperplasia, lamina propria의 샘 비대, 낭포성 확장 등을 확인하여 확진할 수 있습니다. 치료는 아직까지 명확하게 확립된 방법은 없지만, 증상 완화를 위해 약물 치료나 수술적 치료를 시도할 수 있습니다. MLD는 예후가 좋지 않은 질환으로 알려져 있으며, 적절한 치료에도 불구하고 사망에 이를 수 있습니다. 따라서 조기에 진단하여 적극적으로 치료하는 것이 중요합니다. |

초음파 특성은 위와 같다. 보통 위벽의 비후가 일반적인 원인에 일어나는경우 muscularis가 비후되는 경우가 많은데 이 증례는 뚜렷한 점막의 비후 양상이 보이며, cyst가 보이는게 특징적이다.
최종 진단은 조직검사를 통해 이뤄져야 한다.

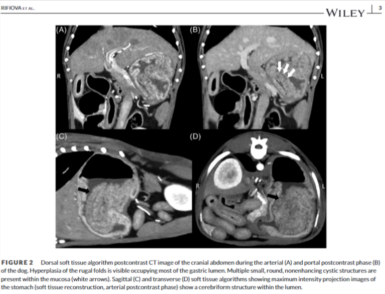
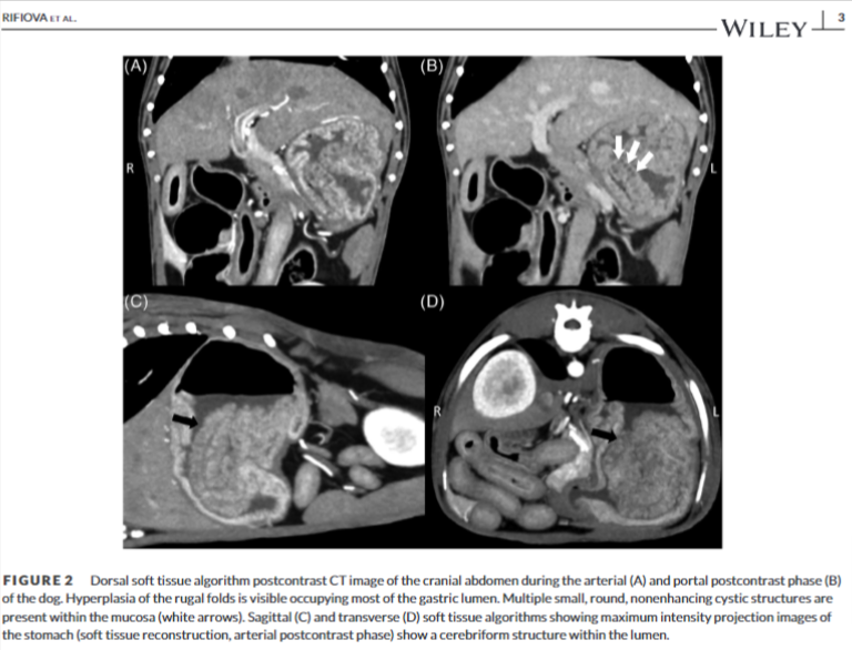
CT 영상도 거의 초음파 영상과 유사한 양상을 보인다.
내시경 영상에서는

이런 양상을 보인다. 마치 흰색 목이버섯같다랄까?
cyst가 있는게 특징적이기는 하지만 모든 경우 낭성구조가 있는건 아니기 때문에 낭성 구조가 없더라도 배제할 수는 없다.
반응형
'논문겉핥기' 카테고리의 다른 글
| 고양이에서 NSAIDs를 장기 투여해도 되나? (1) | 2024.10.29 |
|---|---|
| 고양이의 Septal Pouch(SP) 에 대한 최초보고 (1) | 2024.10.27 |
| 반려견의 MRI 검사에서 midline shift가 관찰될 (1) | 2024.10.21 |
| 반려견의 결석, 사료로 녹일 수 있다? (0) | 2024.10.19 |
| 고양이 SAM(systolic anterior motion)은 얼마나 있고, 개선될 수 있을까? (0) | 2024.10.13 |