고양이 지골에서 발생한 골 거대 세포 복구 육아종 증례
반응형
드물게 발생하는 골 거대 세포 복구 육아종 증례에 대한 보고가 나왔다.

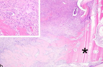
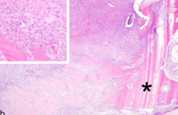
역시 육안으로는 무엇인지 알아볼 수가 없다.

백문이 불여일 조직검사다.

|
드문 질환에 해당하기에 유사 병변에서 이 질환으로 몰입될 필요는 없지만 알아야 보이는 것이고, 언제나 그렇듯 백문이 불여일 조직검사이니, 조직검사를 반드시 하자.
반응형
'논문겉핥기' 카테고리의 다른 글
| 심장 질환이 있는 개 환자에서 ACEi는 얼마나 위험할까? (2) | 2024.12.12 |
|---|---|
| 뚱냥이는 그저 무거워서 관절병이 오는게 아니다. (0) | 2024.12.10 |
| 당신 고양이의 살을 빼야 하는 이유? (1) | 2024.12.06 |
| 에디슨병이 있으면 갑기저 검사도 동시에 해볼 것 (1) | 2024.12.04 |
| 킹 찰스 스파니엘의 myoclonus ; 간대성 근경련 (0) | 2024.12.02 |