개의 신장에서 발생한 림프관확장증 증례

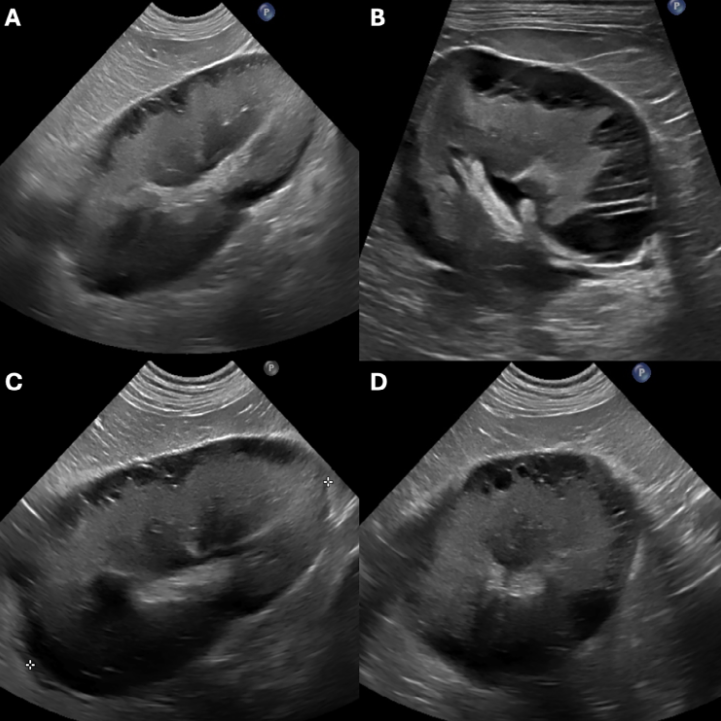
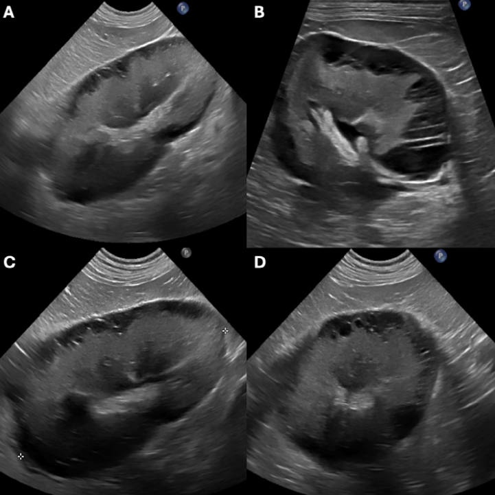
9세 래브라도 리트리버견에서 발생한 희귀 질환인 양측 신장 림프관 확장증에 대한 증례를 보고한다. 해당 환자는 질소혈증 및 양측 신장 비대로 내원하였으며, 초음파 검사에서 신장 피막 하에 다수의 낭성 병변이 관찰되었다. 이는 신장 림프관 확장증의 특징적인 소견으로 알려져 있다.
신장 림프관 확장증은 신장의 림프관이 비정상적으로 확장된 상태로, 사람에서는 이전에 보고된 바 있으나 개에서는 최초로 영상학적 특징이 기술된 사례이다. 본 증례 환자는 보존적 관리에도 불구하고 결국 사망하였으며, 부검 및 조직 검사에서 확장된 피막 하 구조가 확인되었다.
신장 림프관 확장증의 정확한 병태생리는 불분명하나, 사람의 경우 선천적 또는 후천적 형태로 발생할 수 있으며 유전적 요인도 일부 관련 있는 것으로 보고된다. 임상 증상은 다양하게 나타날 수 있으며, 무증상부터 옆구리 통증, 혈뇨 등이 관찰될 수 있다. 동반 합병증으로 감염, 신장 압박, 파열 등이 발생할 수 있다.

진단에는 초음파 검사가 유용하며, 특징적으로 신장 피막 하에 격벽을 가진 낭성 무에코 병변이 관찰된다. 도플러 검사 시 병변 내 혈류 신호는 나타나지 않는다. 이는 다른 신장 질환과의 감별에 중요한 단서가 된다. 컴퓨터 단층 촬영(CT)이나 자기 공명 영상(MRI)과 같은 다른 영상 진단 기법도 활용될 수 있다.

본 증례는 개에서 신장 림프관 확장증의 영상학적 특징을 처음으로 보고함으로써, 향후 유사 증례의 진단 및 감별에 기여할 수 있을 것으로 사료된다. 드문 질환인 만큼 오진될 가능성이 있어 수의 영상학자들의 인식이 중요하다.
| 개에서의 신장 림프관 확장증 초음파 소견 특징적인 원형 피막하 격벽/낭성 무에코성 액체 축적과 혈류 신호 부재가 신장 림프관 확장증을 다른 질환(요종, 다낭성 신장, 림프종, 수신증 등)과 구별하는 데 중요
|
'논문겉핥기' 카테고리의 다른 글
| 병원에서 긴장한 고양이, 어떤 변화가 있을까? (0) | 2025.04.27 |
|---|---|
| 고양이에서도 가성 기립성 진전증(Pseudo-orthostatic tremor)가 발생한다. (0) | 2025.04.26 |
| 개의 전신 떨림 원인들 : 중독이 아니라면 스테로이드를 쓰자 (0) | 2025.04.22 |
| 부신 종양 감별 진단: 세포학적 평가의 진단적 가치 (0) | 2025.04.21 |
| 고양이 하악골 골절에서 와이어 강화 복합 레진 부목(WRICS)의 효과와 안정성 (0) | 2025.04.20 |