종양(림포마)때문에 강아지 심장이? cardiac lymphoma with PS
- 연구 배경: 왜 이 연구가 필요했을까요?
고양이에서 심장 신생물은 드물지만, 가장 흔한 고양이 신생물 중 하나인 림프종이 대부분의 사례를 차지합니다. 원발성 심장 림프종은 전이성 질환보다 발생 빈도가 낮으며, 고양이에서 원발성 심장 림프종의 유병률은 최대 0.02%입니다. 심장 림프종은 심근의 국소적 또는 미만성 침윤으로 나타날 수 있으며, 이는 비대성 심근병증과 유사한 표현형을 보일 수 있습니다. 이 연구는 심장 림프종이 고양이에서 심한 폐동맥 협착증을 유발한 특이한 사례를 보고합니다.
- 연구 방법: 어떻게 진행되었나요?
이번 연구는 9살령의 중성화된 수컷 단모종 고양이를 대상으로 한 사례 보고입니다. 이 고양이는 신장 종괴, 다뇨, 다음, 식욕부진 및 체중 감소 증상으로 내원하였으며, 호흡기 증상은 보고되지 않았습니다. 신체검사에서 심한 호흡 곤란이 확인되었고, 흉부 청진 시 양측 심장 및 폐음 감소가 관찰되었습니다. 경흉부 심장 초음파 검사와 부검 및 조직 병리 검사를 통해 진단이 이루어졌습니다.
- 핵심 결과: 무엇을 발견했나요?
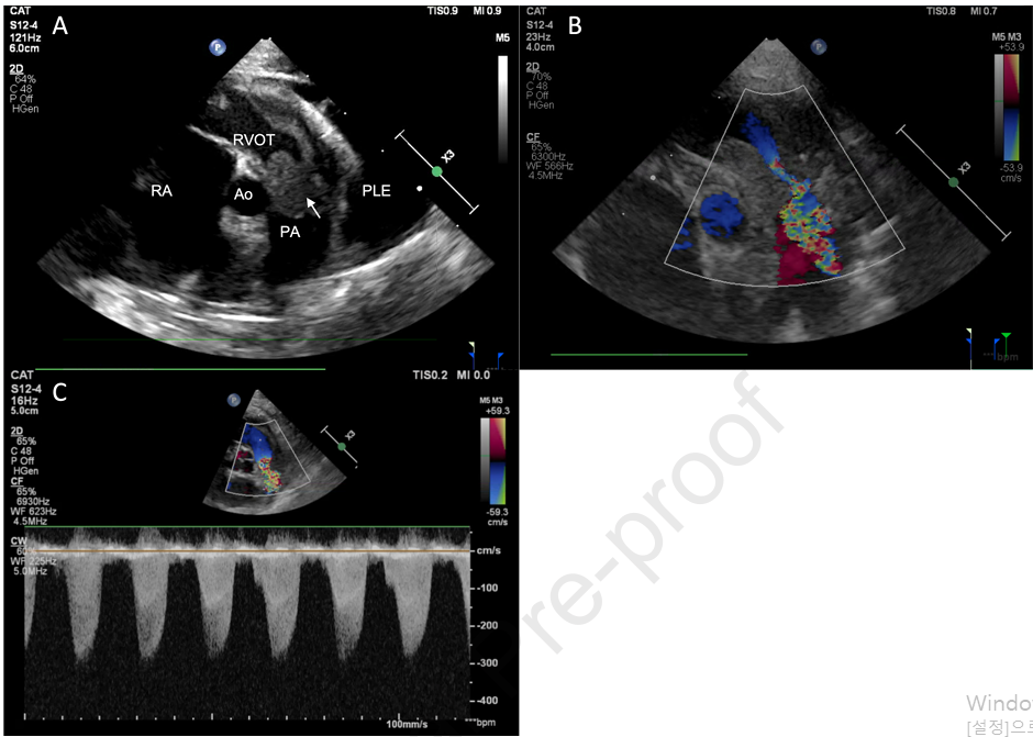
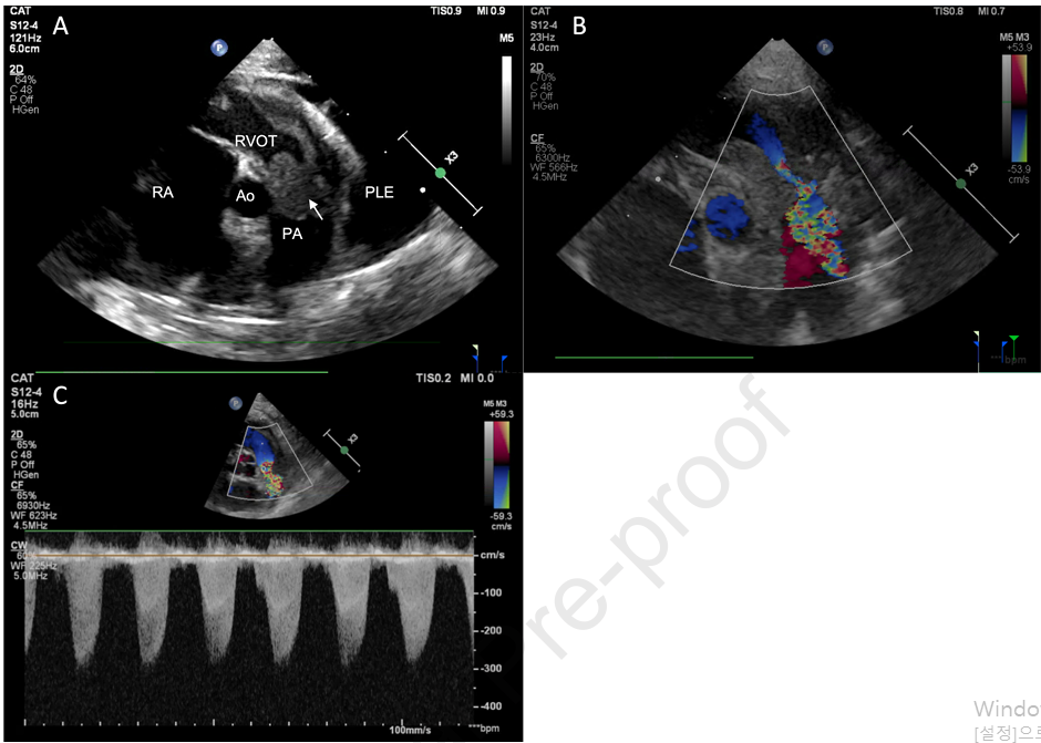
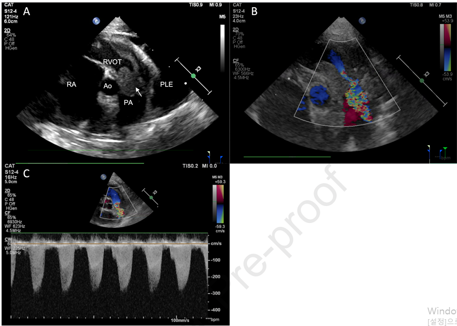
- 초음파 검사 소견: 경흉부 심장 초음파 검사에서 우심실 유출로에 광범위하고 균질한 종괴가 발견되었으며, 이는 폐동맥 판막을 침범하여 심한 유출로 및 판막성 폐동맥 협착증을 유발하였습니다. 이로 인해 우심방 및 우심실 확장이 관찰되었습니다. 또한, 심한 흉수와 미량의 심낭 삼출액, 간정맥 울혈 및 후대정맥 확장이 확인되어 우측 울혈성 심부전과 일치하였습니다.

- 부검 소견: 부검을 통해 폐동맥 판막과 관련된 종괴가 우심실로 확장되어 우심실 및 우심방 심근을 침윤하고 있음을 확인하였고, 이로 인해 심한 유출로 및 판막성 폐동맥 협착증이 발생했음이 밝혀졌습니다. 또한, 흉수, 경미한 심낭 삼출액 및 복수도 확인되었습니다. 좌측 신장이 현저하게 불규칙하고 커져 있었으며, 췌장과 횡격막에서도 결절성 병변이 관찰되었습니다.

- 조직 병리 소견: 좌측 신장, 심장 조직, 췌장, 횡격막 및 부신에 대한 조직 병리 검사 결과, 중간에서 대형 세포 림프종의 파종성 침윤이 확인되었습니다. 특히 폐동맥 판막과 우심실 및 좌심실 벽의 광범위한 종양 침윤이 관찰되었습니다.
- 임상적 의의 및 결론: 그래서 이 연구가 왜 중요할까요?
이번 연구는 고양이에서 심장 림프종이 심한 폐동맥 협착증을 유발하여 우측 울혈성 심부전을 초래한 드문 사례를 보여줍니다. 림프종은 고양이에서 흔한 신생물이지만, 심장 침범은 드물게 발생하며, 특히 폐동맥 판막 침범은 더욱 희귀합니다. 본 사례의 고양이는 심한 우심실 유출로 폐색에도 불구하고 편심성 우심실 비대를 보였는데, 이는 후부하 증가에 대한 부적응성 심실 재형성의 예시로 볼 수 있습니다. 심장 림프종의 임상 증상은 침윤 부위와 정도에 따라 다르지만, 심낭 및 흉수 삼출이 흔하게 나타납니다. 림프종 세포는 쉽게 탈락되므로 흉수 및 심낭 삼출액 세포 검사가 진단에 유용할 수 있습니다. 이 연구 결과는 심장 종괴의 위치에 관계없이 림프종을 감별 진단 목록에 포함해야 함을 강조합니다. 비록 심장 림프종의 예후는 대개 좋지 않지만, 일부 고양이에서는 화학 요법으로 장기간 생존하는 사례도 보고되고 있습니다.
- 요약 및 마무리
이 사례 보고는 고양이의 심장 림프종이 심한 폐동맥 협착증을 유발하여 우측 울혈성 심부전으로 이어진 드문 경우를 제시하며, 심장 종괴 진단 시 림프종을 반드시 고려해야 함을 시사합니다.
'논문겉핥기' 카테고리의 다른 글
| 고양이 비인두 협착증 풍선 확장술, 반복 시술이 재발률을 낮출 수 있을까? (4) | 2025.07.23 |
|---|---|
| 반려견의 복부 CT에서 HCC는 어떻게 보일까? (1) | 2025.07.22 |
| 골든리트리버는 사료 단백질 함량을 고민 할것 (0) | 2025.07.11 |
| 고양이 결장직장 림프종: 수술과 항암치료 병행이 생존기간을 크게 연장할 수 있을까? (0) | 2025.07.05 |
| 개와 고양이의 치매 발병율 (0) | 2025.07.03 |