개에서의 복부 유경성 부간엽
부간엽(Accessory Liver Lobe)은 정상적인 간 조직 외에 추가로 존재하는 간 조직을 의미하며, 특히 혈관이 포함된 줄기(Pedicle)로 연결된 경우를 '유경성 부간엽'이라고 정의합니다. 인의학에서는 이에 대한 구분이 명확히 되어 있으나, 수의학 분야에서는 관련 보고가 매우 드뭅니다. 특히 증상이 복합적이거나 합병증이 동반되지 않은 상태에서 혈관 줄기로 연결된 복부 부간엽이 발견된 사례는 거의 알려진 바가 없습니다. 본 증례는 비특이적인 소화기 증상으로 내원한 환자에서 우연히 발견된 부간엽의 진단 과정과 그 임상적 특성을 공유하고자 합니다.

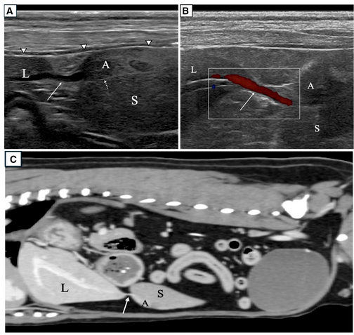
- 영상 진단 결과: 초음파 검사에서 비장 꼬리 부분과 명확히 구분되는 비정상적인 실질 구조물이 발견되었습니다. 컬러 도플러 초음파를 통해 이 구조물이 간의 좌측 외엽(Left lateral liver lobe)과 혈관 줄기로 연결되어 있음을 확인하였으며, CT 촬영을 통해 해당 혈관 줄기와 조영 증강 특성이 간 실질과 유사함을 최종 확증하였습니다.
- 세포학적 소견: 미세 바늘 흡인을 통한 세포학 검사 결과, 해당 종괴는 간세포 증식(Hepatocellular hyperplasia)과 중등도의 퇴행성 변화를 보이는 간 조직으로 판명되었습니다.
- 임상적 경과: 환자의 소화기 증상은 보존적 치료를 통해 해소되었습니다. 부간엽 자체는 양성 종양성 변화와 퇴행성 소견만을 보였으며, 혈액 검사상 간 수치 등의 유의미한 이상이 없어 보호자의 결정에 따라 추가적인 수술 없이 퇴원하였습니다.
유경성 부간엽은 줄기가 꼬이는 '염전(Torsion)'이 발생할 경우 급성 복통을 유발하는 응급 상황으로 이어질 수 있습니다. 하지만 본 증례처럼 염전이나 파열 같은 합병증이 없는 경우에는 비특이적인 영상학적 소견을 보일 수 있으므로, 도플러 초음파와 CT를 활용하여 간 실질과의 연결성을 확인하는 것이 정확한 진단에 필수적입니다. 이 연구는 복부 내 비정상 구조물에 대한 감별 진단 목록에 유경성 부간엽을 포함해야 함을 시사합니다.

반응형
'논문겉핥기' 카테고리의 다른 글
| 넌 어디까기 꼬여봤니? : 방광염전 (0) | 2026.04.09 |
|---|---|
| 반려견 만성 특발성 비염의 관리와 예후: 최신 연구가 제시하는 치료 전략 (0) | 2026.02.13 |
| 반려견 심장 보조제 공구? 제발좀... (0) | 2026.01.01 |
| 고양이의 외상성 발목발허리관절(TMT) 손상: 부분 발목 관절 고정술의 효과와 뜻밖의 위험 요인 (0) | 2025.12.27 |
| 고양이 심장병 환자에서의 피모벤단(Pimobendan) 사용 (0) | 2025.12.25 |