bullar가 있는 반려견의 폐엽 절제술을 해야 할까?

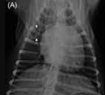
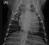
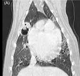
보통 이런식으로 폐야에 bullar 같은 공기주머니가 형성되어 있으면 만성 기관지염이나 장기간에 걸친 기침등으로 인해 발생한 양성 병변인 bullar를 의심한다.
하지만 이런 bullar의 일부는 폐의 암종에 의해서 발생할 수 있으며 그에 대한 논문이 다음과 같다.

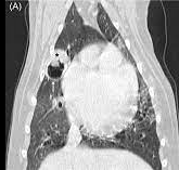
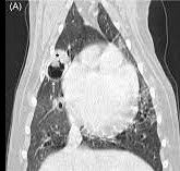
이 연구자는 CT 촬영도 진행하는 등 빠지지 않는 완전 검사 자료를 확보하여 진단의 깊이를 더했다. 훌륭하다.

즉, bullar로 치부하지 말고 CT 촬영을 통해 종괴 가능성 평가를 할 필요가 있다는 것을 실증한 논문임과 동시에
어차피 bullar가 발생하더라도 시간이 흐를 수록 폐야를 모두 먹어 파열로 인한 기흉으로 급사 가능성이 있는 bullar 또한 종양의 가능성이 있으니 bullar가 발생하는 경우 조기에 폐엽 절제술을 통해 치료할 필요가 있다는 근거를 하나 추가한 샘이다.
반응형
'논문겉핥기' 카테고리의 다른 글
| 반려견과 고양이의 췌장 수술은 어느정도 위험한가? (0) | 2022.07.02 |
|---|---|
| 사람 면역글로불린 투약후 발생한 용혈성 빈혈 반려견 1마리 증례 (0) | 2022.07.01 |
| 연구개 노장 수술의 효과 (0) | 2022.06.29 |
| 반려견 경추 디스크의 치료 후 재발에 관한 최신 지견 (0) | 2022.06.28 |
| 개와 고양이의 포도 중독에 대한 최신 지견 (0) | 2022.06.27 |