기흉 환자 치료에 적용할 수 있는 allogenic blood patch

폐가 찢어지거나 기도 파열이 있는 등의 이유로 기흉이 생겼을 때 통상 반려견에서는 소량의 기흉의 경우 공기양의 증가를 모니터링 하는게 1차적이고
공기양이 증가하거나 처음확인시부터 대량으로 기흉이 존재하는 경우 차오르는 공기를 빼주는 시술을 하게 된다.
일때 단회 혹은 수회에 걸쳐 공기를 빼줌에도 불구하고 다시 차오르는 형태가 계속되거나 호흡 곤란을 유발할 정도의 공기가 차오르는 경우 흉관을 삽입하여 지속적으로 공기를 빼주게 된다.

이때 흉관의 끝부분은 1 way jar 를 이용하여 공기가 더이상 차오르지 않을때까지 유지해주는 것이 교과서적인 표준이다.

하지만 사람 환자들과는 달리 동물 환자들은 자꾸 움직이고 협조하지 않는것이 일반적이기 때무에 이런 외부 연결 구조물을 파괴하는 경우가 많아 이로인하여 더 빠른 기흉생성으로 사망에 이를 수 있기 때문에
이런 협조도가 떨어지는 환자나 폐야의 열상이 뚜렷하여 대량의 공기가 자연히 감소할 가능성이 낮은 환자라면 개흉을 통해 폐엽 절제술을 해줄 필요가 있다.

하지만 폐엽절제 자체가 매우 침습적이고 수술 후에도 합병증이 가능하기 때문에 비수술적인 요법이 필요하다.
이 요법은 결국 수술 하지 않고 치료한다기 보다는 자연 치유 기간을 단축 시키는 방법으로서 가치가 있다고 할 수 있는데
그 방법이 이번에 나온 증례에서 소개된 allogenic blood patch 법이다.

개념적으로 이야기 하자면 전통적인 흉관 튜브와 1way jar를 이용한 공기 제거를 하는데 이때 동종 혹은 자신의 혈액을 수혈하듯 흉강에 주입해주면
이 혈액이 구멍난 폐야를 덮어 fibrin이나 혈괴로 막히게 될고 흉관 튜브를 삽입하고 있는 기간을 줄일 수 있다는 발상이다.
꽤 설득력이 있는 방법으로
이런방법을 병행하면 흉관 튜브 삽입 시간을 현저하게 감소시킬 수 있는 방법이라 하겠다.
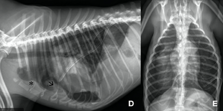
이 증례에서는 폐야의 bulla가 파열하여 생긴 spontaneous pneumothorax 환자에서 사용한 예시라서 한번쯤 참고할만하다.
'논문겉핥기' 카테고리의 다른 글
| 입원한 고양이 환자의 식욕부진의 모든것 (0) | 2022.07.05 |
|---|---|
| 항경련제인 조니사미드(zonisamide)의 반려견 환자의 신규 희귀 부작용 (1) | 2022.07.04 |
| 반려견과 고양이의 췌장 수술은 어느정도 위험한가? (0) | 2022.07.02 |
| 사람 면역글로불린 투약후 발생한 용혈성 빈혈 반려견 1마리 증례 (0) | 2022.07.01 |
| bullar가 있는 반려견의 폐엽 절제술을 해야 할까? (0) | 2022.06.30 |