드물지만 고양이 chemodectoma 증례
반응형

드문 질환에 대한 증례보고가 나오면 과연 이런 환자가 내게 올까? 를 생각을 하게 된다.
하지만 아는만큼 보이기에 드문질환이라 하여 간과하다가 막상 눈앞에 오게 되면 발견하지 못하는 경우가 생긴다.
때문에 이런 드문 질환이더라도 적어도 현상만이라도 정기적으로 기억해 두어야 막상 증례가 왔을때 발견하고 진단할 수 있다.
어쩌면 지금까지 거쳐온 수많은 유미흉, 흉수 고양이들이 이런 케모덱토마, 화학수용체종 이었을지도 모른다.

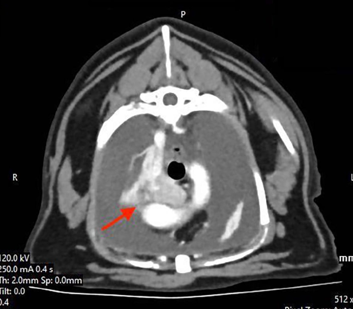
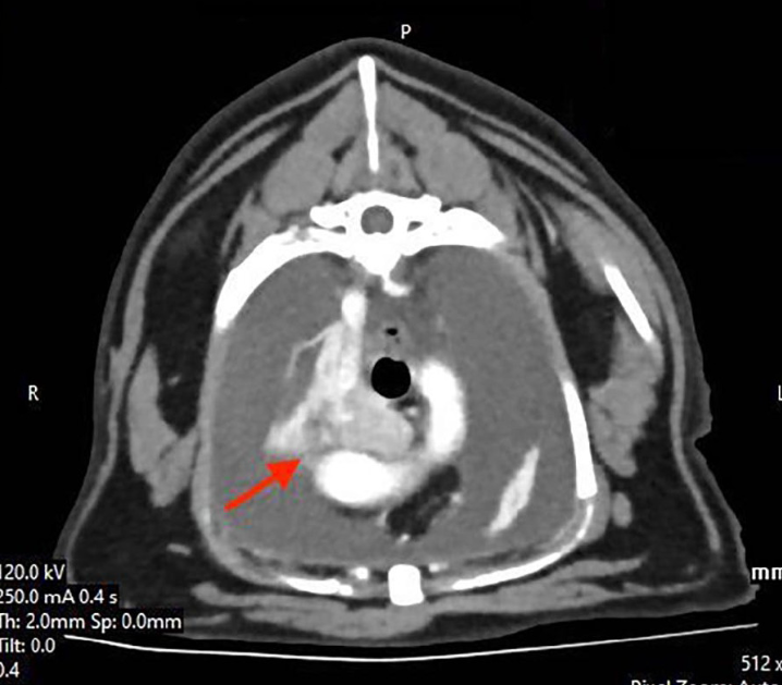
CT를 찍고, 수술까지 진행한 케이스이며
그 후 CT 진단후 31개월 후에 사망할때까지 추적검사를 진행한 증례이니 전반적인 흐름에 대한 기억을 위해 좋은 증례가 될것이니 심심할때 에세이 읽듯 꼭 읽어볼만 하다.

반응형
'논문겉핥기' 카테고리의 다른 글
| 사람 알부민을 투여 받은 강아지에서 발생한 급성 신부전 치료 (0) | 2023.02.20 |
|---|---|
| 간종양이 있는 반려견에서 세침 흡인검사는 위험한가? (0) | 2023.02.18 |
| 반려견 장 종양에서 CT 촬영의 유용성 (0) | 2023.02.14 |
| 용혈성 빈혈의 진단과 치료에서 당화혈색소의 역할 (0) | 2023.02.12 |
| 강아지는 겨드랑이에서 체온 측정을 하지 않는 이유. (0) | 2023.02.09 |