별놈의 지방종, 고양이 견갑골 뼈속부터 지방종?
반응형

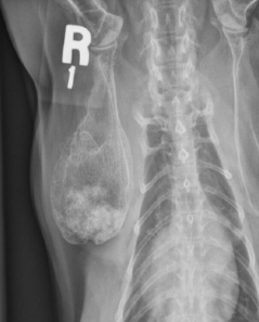
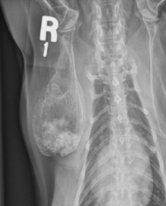
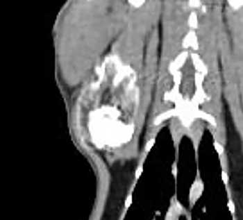
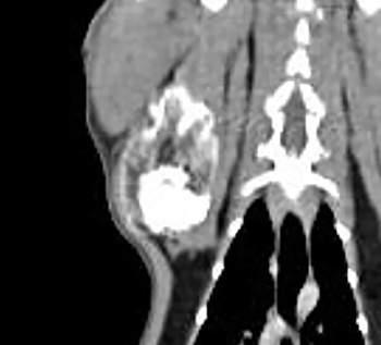
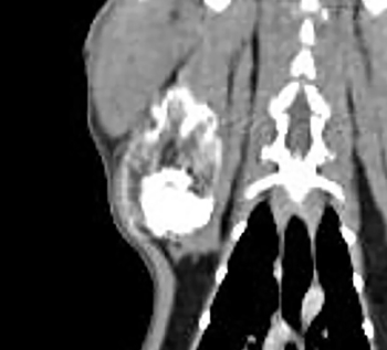
제목에 딱 박힌 Rare 하다는 말. 그냥 신기한 구경정도로 생각하는게 좋을듯 하다.

양성 종양이지만 뼈를 파괴할 수 있다는 교훈 정도는 기본으로 가지고 가야 할듯 하다.

반응형
'논문겉핥기' 카테고리의 다른 글
| 고지혈증이 있으면 담낭이 마이아파~ (0) | 2023.06.02 |
|---|---|
| 고양이 침윤성장질환과 장종양의 구분 방법 (0) | 2023.05.30 |
| 방광벽에서 물주머니들이 보인다면? (0) | 2023.05.26 |
| 3살짜리 고양이의 심장 종양 (0) | 2023.05.24 |
| 개 폐포자충증(pneumocystosis)의 치료 (0) | 2023.05.22 |