고양이 갈색 세포종
반응형
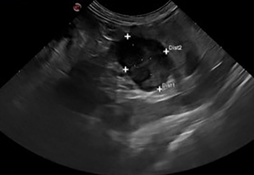
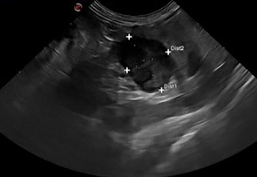
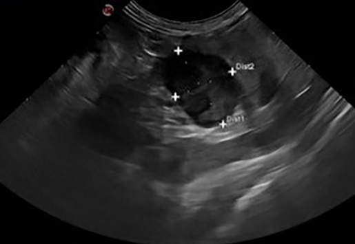
고양이 부신의 종양성 변화는 매우 드문 질환에 해당한다.
그 이유가 고양이는 원래 adenoma 계열의 분비샘류의 종양이 잘 발생하지 않기 때문이다.
하지만 그렇다고 전혀 발생하지 않는것은 아니기 때문에 간혹 이런 케이스 논문이 나온다.

1마리만 가지고 논문을 쓸 정도라면 꽤 드문 케이스라는 의미가 깔려 있는것이니 쉬는 시간에 심심하면 읽어 보는 수준으로 가볍게 보면 될듯,

반응형
'논문겉핥기' 카테고리의 다른 글
| 개의 유전성 운동실조증의 품종별 발생에 대한 리뷰 (0) | 2023.07.06 |
|---|---|
| 강아지 폐종양이 있다면 주춤하지 말고 바로 수술하세요. (0) | 2023.07.04 |
| 만성 간염이 있는 환자에서 혈전 예방을 해야 하는 이유. (0) | 2023.06.30 |
| 인터벤션 잘 살까? (0) | 2023.06.28 |
| 슬개골 탈구보다 더 중요한 십자인대 단열 (0) | 2023.06.26 |