만성 비염이 있던 강아지의 비강내 종양 증례

이번에 나온 증례다.
언제나 그렇듯 'a dog'를 가지고 논문을 쓴것은 그만큼 희귀한 케이스라는것. 하지만 두개골에 생긴 ossifying fibroma 케이스는 본인도 몇차례 겪어본 케이스라 생각보다 다발한다고 생각된다. 이 증례는 위치가 특이하고 CT 촬영과 수술적 제거 까지 해서 특이보다는 특별한 케이스라는 말.
지역병원에서 볼때는

방사선 검사상 이정도 영상으로 보일 수 있다.
명확한 골밀도 변화 양상이 보이는것을 확인할 수 있을것이다.
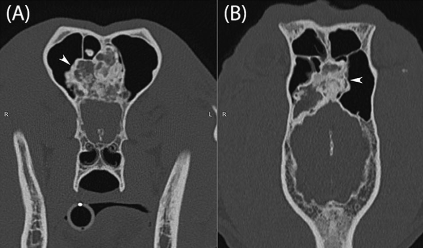
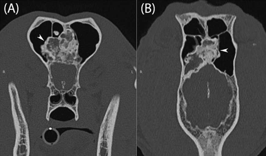
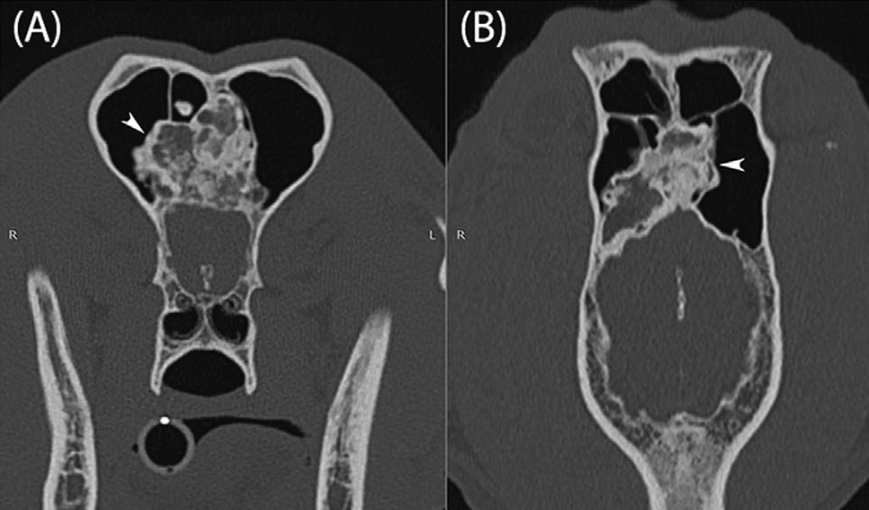
수술을 위해서는 뇌 내측으로 침습한 양상을 확인하기 위해 CT 촬영이 필요하다.

CT를 보고 침습범위 확인하고 수술 가능여부플 평가한 수 수술로 제거한 증례

반응형
'논문겉핥기' 카테고리의 다른 글
| 고양이 전염성 복막염의 먹는 신약 (0) | 2023.08.23 |
|---|---|
| 개의 간과 비장의 FNA를 할때 바늘은 몇호를? (0) | 2023.08.21 |
| 당뇨 고양이에서 연속혈당계 결과 해석 주의점 (0) | 2023.08.15 |
| 넌 어디까지 꼬여봤니?_공장염전 (0) | 2023.08.11 |
| 반려견의 담낭벽 두께 (0) | 2023.08.07 |